Катетеризация сердца — высокотехнологичная процедура, позволяющая получить информацию о состоянии сердечно-сосудистой системы. Она включает введение катетеров в полости сердца или магистральные сосуды для диагностики и, при необходимости, лечебных манипуляций. В статье рассмотрим показания к катетеризации и методику ее выполнения, что поможет медицинским специалистам и пациентам понять важность этого исследования для диагностики и лечения сердечно-сосудистых заболеваний.
Разновидности катетеризации сердца
Существует два основных типа данной процедуры:
- большая катетеризация (или катетеризация левых отделов сердца) – это более распространенный метод, при котором катетер вводится через аорту в левый желудочек, достигая коронарных сосудов;
- малая катетеризация (или катетеризация правых отделов сердца) – катетер может быть введен в правые отделы сердца и легочные артерии через вены в области паха или локтевого сгиба. В некоторых случаях используются «плавающие» катетеры, которые попадают в сердце вместе с потоком венозной крови.
Кроме того, существует синхронная (или симультанная) катетеризация, при которой одновременно вводятся два катетера через артерию и вену. В процессе процедуры их можно расположить напротив друг друга, разделяя только сердечный клапан (например, аортальный или митральный). Этот подход позволяет вычислить градиент давления, создаваемый отверстиями сердечных клапанов.
Врачи отмечают, что катетеризация сердца является важным диагностическим и лечебным методом, позволяющим получить информацию о состоянии сердечно-сосудистой системы. Показаниями к проведению процедуры могут служить подозрения на ишемическую болезнь сердца, оценка состояния коронарных артерий, а также необходимость в проведении интервенционных вмешательств, таких как установка стентов. Методика исследования включает введение катетера через артерию или вену, что позволяет врачам измерять давление в сердечных камерах, оценивать кровоток и получать изображения сосудов. Специалисты подчеркивают, что, несмотря на минимальные риски, катетеризация требует высокой квалификации медицинского персонала и тщательной подготовки пациента. Правильное выполнение процедуры может существенно улучшить прогноз и качество жизни пациентов с сердечно-сосудистыми заболеваниями.
https://youtube.com/watch?v=m1zOM-3h0_s
Показания
Катетеризация сердца с целью диагностики назначается в тех ситуациях, когда врачу требуется получить максимально полную информацию о состоянии коронарных сосудов и сердца пациента, а другие методы обследования не способны предоставить достаточные данные о степени и причинах нарушений гемодинамики. На основе полученных результатов специалист сможет разработать оптимальный план лечения, включая возможность хирургического вмешательства.
Диагностическая катетеризация сердца может быть рекомендована в следующих клинических ситуациях:
- врожденные аномалии сердца;
- заболевания сердечных клапанов;
- ишемическая болезнь сердца;
- кардиомиопатия;
- сердечная недостаточность;
- легочная гипертензия;
- амилоидоз сердца.
Эта процедура позволяет определить характер повреждений коронарных сосудов, миокарда или клапанов, которые не могут быть выявлены другими методами (например, если результаты предыдущих исследований вызывают сомнения). Кроме того, катетеризация сердца дает возможность оценить степень этих повреждений и изучить патофизиологические механизмы, влияющие на функции миокарда. Обычно данный метод диагностики применяется перед проведением кардиохирургических операций.
Катетеризация сердца также может быть использована в лечебных целях в следующих случаях:
- коррекция некоторых пороков сердца;
- необходимость расширения суженных (стенозированных) сосудов;
- интракоронарный тромболизис;
- выполнение стентирования или ангиопластики пораженных артерий.
Процедура катетеризации сердца может проводиться пациентам любого возраста при отсутствии противопоказаний к ее выполнению.
| Показания к катетеризации сердца | Методика исследования | Описание процедуры |
|---|---|---|
| Диагностика ишемической болезни сердца (ИБС) | Коронарография | Введение контрастного вещества в коронарные артерии для визуализации их просвета и выявления стенозов. |
| Оценка функции клапанов сердца | Вентрикулография, ангиография | Измерение давления в камерах сердца, оценка степени стеноза или недостаточности клапанов. |
| Диагностика врожденных пороков сердца | Ангиография, оксиметрия | Определение анатомических дефектов, измерение давления и насыщения крови кислородом в различных отделах сердца. |
| Оценка сократительной функции миокарда | Вентрикулография | Визуализация сокращения желудочков сердца, расчет фракции выброса. |
| Подготовка к кардиохирургическим операциям | Комплексное исследование | Получение полной информации о состоянии сердца и сосудов перед операцией. |
| Диагностика легочной гипертензии | Измерение давления в легочной артерии | Определение степени повышения давления в легочной артерии. |
| Биопсия миокарда | Эндомиокардиальная биопсия | Взятие небольшого образца ткани миокарда для гистологического исследования. |
| Электрофизиологическое исследование (ЭФИ) | Введение электродов в камеры сердца | Оценка электрической активности сердца, выявление аритмий. |
| Установка стентов или баллонная ангиопластика | Интервенционные процедуры | Расширение суженных коронарных артерий с помощью баллона и установка стента. |
| Закрытие дефектов перегородок сердца | Интервенционные процедуры | Закрытие дефектов межпредсердной или межжелудочковой перегородки с помощью окклюдера. |
Противопоказания
В ряде ситуаций катетеризация сердца может быть невозможна из-за наличия следующих относительных противопоказаний:
- острые инфекционные заболевания;
- высокая температура;
- системные инфекции;
- неустраненная дигиталисная интоксикация или низкий уровень калия;
- отек легких;
- тяжелый атеросклероз периферических сосудов;
- неконтролируемая гипертензия или аритмия;
- декомпенсированная сердечная недостаточность;
- выраженная анемия;
- серьезные нарушения свертываемости крови;
- аллергия на используемый контрастный агент;
- желудочно-кишечные кровотечения;
- тяжелая почечная недостаточность;
- беременность и период лактации.
Решение о необходимости проведения катетеризации в таких случаях принимается индивидуально для каждого пациента и зависит от конкретной клинической ситуации. Обычно процедуру можно выполнить после устранения противопоказаний или при специальной подготовке пациента.
Иногда врачам приходится отказываться от проведения данной диагностической процедуры, если пациент не согласен на ее выполнение.
https://youtube.com/watch?v=r3wzmB6Yieo
Особенные рекомендации
При подготовке к катетеризации сердца пациент обязательно должен уведомить врача о следующих обстоятельствах:
- возможной беременности;
- использовании медикаментов или биологически активных добавок;
- применении сахароснижающих средств;
- наличии в анамнезе аллергических реакций на йод, рентгеноконтрастные вещества, морепродукты, латекс или резину;
- употреблении Виагры или аналогичных препаратов для лечения эректильной дисфункции.
Особое внимание к подготовке пациента требуется в следующих клинических ситуациях:
- наличие серьезных сопутствующих заболеваний (инсулинозависимый диабет, тяжелая легочная недостаточность, почечная недостаточность, значительные поражения периферических или мозговых сосудов);
- принадлежность к IV функциональному классу сердечной недостаточности (по классификации NYHA);
- выраженная дисфункция левого желудочка;
- возраст пациента до 1 года или старше 70 лет.
В указанных случаях катетеризация сердца проводится с повышенной осторожностью, так как наличие этих факторов увеличивает риск возможных осложнений, включая летальный исход.
Подготовка пациента
После назначения процедуры врач обязательно информирует пациента о методах проведения исследования, а также о возможных рисках и противопоказаниях. Затем пациент подписывает согласие на катетеризацию, после чего специалист предоставляет подробные рекомендации по подготовке к предстоящему обследованию:
- За две недели до процедуры пациент должен сдать анализы крови и мочи, а также пройти ЭКГ, Эхо-КГ и рентген грудной клетки. В случае необходимости врач может назначить дополнительные обследования.
- Возможно, потребуется внести изменения в режим приема некоторых лекарств или назначить дополнительные препараты, такие как успокоительные или антикоагулянты.
- Пациент может прийти на процедуру в день исследования или быть госпитализированным за 1-2 дня до катетеризации. При поступлении в стационар следует взять с собой необходимые вещи (тапочки, удобную одежду, средства личной гигиены и т.д.). Эти предметы могут понадобиться, если после процедуры потребуется медицинское наблюдение, поэтому их стоит подготовить заранее.
- При необходимости может быть проведена проба на местный анестетик, который будет использоваться для обезболивания, или на контрастное вещество.
- Необходимо вовремя принять все лекарства, назначенные врачом для подготовки к исследованию.
- Вечером перед обследованием рекомендуется принять душ и удалить волосы в области предполагаемого введения катетера.
- За 6-8 часов до процедуры следует отказаться от пищи и жидкости.
- Если пациент планирует вернуться домой после процедуры, ему потребуется сопровождение.
- Перед процедурой стоит оставить у близких или в палате зубные протезы, слуховой аппарат, очки, телефон и другие предметы, которые могут помешать проведению исследования.
https://youtube.com/watch?v=JpzxoLnYDpI
Техника проведения
Пациенту важно знать, что катетеризация сердца – это безболезненная процедура. В процессе исследования он останется в сознании, сможет общаться с врачом и выполнять рекомендации специалиста.
Иногда во время процедуры могут возникать ощущения сердцебиения, легкого жжения в области введения катетера или чувства тепла. Эти незначительные дискомфортные ощущения не должны вызывать беспокойства, так как они не свидетельствуют о каких-либо осложнениях и быстро проходят самостоятельно после завершения исследования.
Как выполняется катетеризация?
- За час до начала процедуры пациенту вводят седативное средство для расслабления.
- После транспортировки в специально подготовленный кабинет ему предлагают сменить одежду на одноразовую и укладывают на операционный стол.
- Медсестра осуществляет пункцию вены для введения необходимых препаратов. При необходимости может быть установлен катетер в мочевой пузырь.
- Врач обрабатывает антисептиком область введения сердечного катетера (локтевой сгиб, запястье или паховая область) и проводит местную анестезию. После достижения эффекта обезболивания специалист делает небольшой разрез для установки катетера или выполняет пункцию сосуда толстой иглой.
- Врач начинает вводить катетер в выбранный кровеносный сосуд и под контролем рентгеноскопии продвигает его к желудочкам сердца или коронарным сосудам.
- После достижения левого или правого желудочка к катетеру подключают манометр для измерения давления. При необходимости могут быть выполнены дополнительные процедуры, такие как биопсия или аортография.
- Для ангиографии в катетер вводится рентгеноконтрастное вещество, которое позволяет визуализировать желудочки и коронарные сосуды. Специалист анализирует их состояние, делает снимки и формирует заключения. Во время съемки врач может попросить пациента задержать дыхание, сделать глубокий вдох или покашлять.
- При введении контраста для исследования желудочков у пациента может возникнуть кратковременное ощущение жара или тепла. Если же контраст используется только для оценки состояния коронарных артерий, то такие ощущения отсутствуют, так как применяется меньшая доза йодсодержащего препарата. Если после введения контраста пациент испытывает зуд, тошноту, ощущение комка в горле или дискомфорт в грудной клетке, он должен немедленно сообщить об этом врачу.
- При необходимости во время исследования могут быть рекомендованы дозированные физические нагрузки или физиологические пробы с использованием эргометра.
- После завершения исследования врач удаляет сердечный катетер, при необходимости накладывает швы на место небольшого разреза или использует коллагеновый герметик. Затем накладывается давящая повязка для предотвращения кровотечения и образования подкожных гематом.
- Медсестра удаляет иглу, использованную для внутривенной инфузии, и катетер из мочевого пузыря (если он был установлен).
После завершения катетеризации сердца пациент может быть отпущен домой после полной стабилизации состояния (обычно это происходит через несколько часов) или оставаться под медицинским наблюдением до следующего утра.
Как долго длится процедура?
Подготовка пациента к исследованию занимает от 1 до 2 часов, в то время как сама катетеризация сердца занимает примерно 30-60 минут. Если требуется проведение дополнительных диагностических или лечебных процедур, общая продолжительность манипуляции может превышать 1 час.
Какие специальные исследования могут выполняться во время катетеризации сердца?
В процессе катетеризации сердца могут применяться различные методы обследования:
- ангиография – используется для получения изображений камер сердца, коронарных артерий, легочных артерий и аорты;
- исследование внутрисердечного шунтирования крови – позволяет определить уровень кислорода в различных отделах сердца и крупных сосудах;
- внутрисосудистое ультразвуковое исследование – осуществляется с помощью компактного УЗ-датчика, установленного на конце сердечного катетера, для анализа просвета сосуда, стенок коронарной артерии и особенностей кровотока;
- эндомиокардиальная биопсия – выполняется с использованием специального катетера для биопсии, направлена на выявление состояний, вызванных инфекционными и инфильтративными заболеваниями, а также реакций отторжения трансплантата;
- измерение сердечного кровотока или выброса – методика осуществляется с помощью термодилюции, индикаторной дилюции или метода Фика;
- оценка кровотока в коронарных артериях – выполняется с применением специализированных катетеров, оснащенных допплеровскими датчиками потока или встроенными датчиками давления, которые помогают определить степень стеноза сосудов.
После процедуры
После завершения катетеризации сердца пациенту рекомендуется:
- Провести несколько часов под наблюдением медицинского персонала. Врач может предложить остаться в стационаре до следующего утра или разрешить вернуться домой в тот же день, но только после полной стабилизации состояния.
- Если катетер вводился через паховую область, для предотвращения кровотечения после процедуры необходимо полежать на спине в течение нескольких часов.
- При введении катетера в локтевую вену нельзя сгибать руку в течение нескольких часов после исследования.
- При наличии боли в месте введения катетера после окончания действия местного анестетика рекомендуется принять обезболивающее средство.
- После процедуры нельзя садиться за руль. Необходимо, чтобы кто-то сопроводил пациента до дома.
- После введения контрастного вещества в течение следующих 24 часов следует выпить не менее 2 литров воды для более быстрого выведения препарата из организма.
- Регулярно обрабатывать место введения катетера антисептическим раствором и менять повязку.
- Принимать душ можно только после получения разрешения от врача.
- В течение недели следует ограничить физическую активность.
- Если врач рекомендовал отменить прием каких-либо препаратов до процедуры, стоит уточнить у специалиста, когда можно возобновить лечение.
- Необходимо повторно посетить врача в назначенный день.
Возможные осложнения
При должной подготовке пациента, тщательном выявлении всех возможных противопоказаний и высокой квалификации врача, осуществляющего процедуру, осложнения после катетеризации сердца случаются довольно редко. Возможные последствия данной процедуры во многом зависят от обследуемых отделов сердца.
При катетеризации правого желудочка существует небольшой риск возникновения аритмий и отека легких, при этом чаще всего наблюдаются желудочковые или предсердные аритмии. В крайне редких случаях могут развиться инфаркт легкого, перфорация правого желудочка или легочной артерии. При исследовании левых отделов сердца возможно накопление воздуха или крови в плевральной полости, а также повреждение перикарда.
Иногда во время или после катетеризации сердца могут возникать и другие осложнения:
- резкое снижение артериального давления;
- инфаркт миокарда;
- инсульт;
- повреждение коронарного сосуда;
- тромбоэмболия;
- инфекция в месте введения катетера;
- кровотечение в области введения катетера;
- аллергическая реакция на контрастный препарат;
- поражение почек из-за использования контраста (чаще наблюдается у пациентов с сахарным диабетом или заболеваниями почек);
- летальный исход.
Важно отметить, что инсульт и инфаркт миокарда при катетеризации сердца происходят лишь в 0,1 % случаев, а летальный исход фиксируется у 0,1-0,2 % пациентов. Вероятность инсульта возрастает у людей старше 80 лет.
Катетеризация сердца является инвазивной, но высокоинформативной диагностической процедурой. В некоторых клинических ситуациях она не может быть заменена другими, неинвазивными современными методами обследования. При правильной подготовке к процедуре, соблюдении рекомендаций специалиста, высокой квалификации врача и выявлении всех противопоказаний риск осложнений остается низким. В некоторых случаях катетеризация сердца может проводиться с целью лечения.
Оценка результатов катетеризации
Оценка результатов катетеризации сердца является важным этапом в диагностике и лечении сердечно-сосудистых заболеваний. После завершения процедуры катетеризации, полученные данные анализируются с целью определения состояния коронарных артерий, функции сердца и наличия различных патологий.
Основные параметры, которые оцениваются после катетеризации, включают:
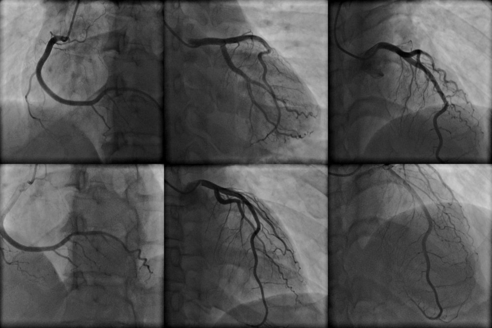
- Коронарография: Это визуализация коронарных артерий с помощью контрастного вещества. Оценка состояния коронарных артерий позволяет выявить стенозы (сужения), окклюзии (закупорки) и другие аномалии, которые могут привести к ишемической болезни сердца.
- Гемодинамические параметры: Измеряются давление в различных камерах сердца, а также в легочной артерии. Эти данные помогают оценить функцию сердца и выявить возможные нарушения, такие как сердечная недостаточность или перегрузка давления.
- Фракция выброса: Этот показатель отражает, сколько крови выбрасывается из сердца с каждым сокращением. Нормальная фракция выброса составляет 55-70%. Снижение этого показателя может указывать на сердечную недостаточность или другие патологии.
- Оценка клапанного аппарата: Во время катетеризации можно также оценить состояние сердечных клапанов. Это важно для диагностики таких заболеваний, как стеноз или недостаточность клапанов.
- Электрофизиологические исследования: В некоторых случаях катетеризация может быть дополнена электрофизиологическими исследованиями, которые позволяют оценить проводимость электрических импульсов в сердце и выявить аритмии.
После анализа всех полученных данных, кардиолог может сделать выводы о состоянии сердечно-сосудистой системы пациента и разработать дальнейший план лечения. Это может включать медикаментозную терапию, ангиопластику, установку стентов или даже хирургическое вмешательство, в зависимости от степени поражения коронарных артерий и других факторов.
Важно отметить, что результаты катетеризации должны интерпретироваться в контексте клинической картины пациента, его анамнеза и других диагностических исследований. Это позволяет обеспечить комплексный подход к лечению и улучшить прогноз для пациента.
Реабилитация после процедуры
Реабилитация после катетеризации сердца является важным этапом в восстановлении пациента и требует внимательного подхода. Процедура катетеризации может вызывать различные физические и эмоциональные реакции, поэтому важно следовать рекомендациям врачей для достижения оптимальных результатов.
После завершения катетеризации пациента переводят в палату для наблюдения. В первые несколько часов необходимо контролировать состояние пациента, включая частоту сердечных сокращений, артериальное давление и уровень кислорода в крови. Важно следить за местом введения катетера на наличие возможных осложнений, таких как кровотечение или инфицирование.
В течение первых 24 часов после процедуры рекомендуется ограничить физическую активность. Пациентам следует избегать тяжелых физических нагрузок, наклонов и поворотов, чтобы не повредить место введения катетера. Врач может рекомендовать отдых в постели, особенно если катетеризация проводилась через бедренную артерию.
После выписки из стационара пациентам обычно назначают курс реабилитации, который может включать в себя:
- Физическую терапию: Специально подобранные упражнения помогут восстановить физическую активность и укрепить сердечно-сосудистую систему.
- Психологическую поддержку: Эмоциональное состояние пациента также важно. Психолог может помочь справиться с тревогой и стрессом, связанными с процедурой и восстановлением.
- Диетические рекомендации: Правильное питание играет ключевую роль в восстановлении. Врач может порекомендовать сбалансированную диету, богатую овощами, фруктами, нежирным белком и цельнозерновыми продуктами.
- Мониторинг состояния: Регулярные визиты к кардиологу для контроля состояния сердца и корректировки лечения.
Важно отметить, что каждый пациент уникален, и реабилитация может варьироваться в зависимости от индивидуальных особенностей, общего состояния здоровья и наличия сопутствующих заболеваний. Поэтому все рекомендации должны быть адаптированы под конкретного пациента.
В заключение, реабилитация после катетеризации сердца требует комплексного подхода и активного участия как медицинского персонала, так и самого пациента. Соблюдение всех рекомендаций и регулярный мониторинг состояния здоровья помогут минимизировать риски и ускорить процесс восстановления.
Современные технологии и инновации в катетеризации сердца
В последние годы наблюдается активное внедрение новых методов и оборудования, что позволяет повысить безопасность и эффективность процедуры.
Одним из значительных достижений является использование минимально инвазивных техник, таких как трансрадиальная катетеризация. Этот метод позволяет вводить катетер через радиальную артерию на запястье, что снижает риск осложнений, таких как кровотечения и тромбообразование, по сравнению с традиционным подходом через бедренную артерию. Трансрадиальная катетеризация также обеспечивает более быстрое восстановление пациента и сокращает время пребывания в стационаре.
Кроме того, современные катетеры оснащены высокотехнологичными датчиками и системами визуализации, которые позволяют врачам получать более точные данные о состоянии сердечно-сосудистой системы. Использование трехмерной ангиографии и флуоресцентной визуализации помогает лучше оценить анатомию сосудов и выявить патологические изменения, такие как стенозы или аневризмы.
Инновационные технологии также включают в себя применение роботизированных систем, которые обеспечивают более высокую точность и контроль при выполнении катетеризации. Роботизированные платформы позволяют кардиологам выполнять сложные манипуляции с минимальным вмешательством, что особенно важно при работе с пациентами с высоким риском осложнений.
Важным аспектом является и развитие программного обеспечения для анализа данных, полученных в ходе катетеризации. Современные алгоритмы машинного обучения и искусственного интеллекта помогают в интерпретации результатов, что способствует более быстрому и точному принятию клинических решений.
Наконец, стоит отметить, что современные технологии катетеризации сердца активно интегрируются с другими методами лечения, такими как стентирование и абляция. Это позволяет не только диагностировать, но и сразу же устранять выявленные проблемы, что значительно улучшает прогноз для пациентов.
Таким образом, современные технологии и инновации в катетеризации сердца открывают новые горизонты в кардиологии, обеспечивая более безопасные и эффективные методы диагностики и лечения сердечно-сосудистых заболеваний.


