Пн-пт: 10:00—20:00; сб: 10:00—15:00 по предварительной записи
whatsapp telegram vkontakte email

Опасный недуг — дисплазия шейки матки: лечение народными методами

Дисплазия шейки матки — опасное заболевание женских половых органов, прогрессия которого может привести к перерождению в рак.

Согласно статистическим данным, рак шейки матки — болезнь номер один по смертности среди женского населения.

В европейских странах этому виду рака подвержены 11,5% женщин, что делает его наиболее распространенным онкологическим заболеванием. Этой смертоносной патологии предшествует дисплазия шейки матки, протекающая абсолютно бессимптомно.

Признаки дисплазии шейки матки

Дисплазия шейки матки — заболевание, для которого характерно образование на нижней части матки нетипичных клеток.

Сама по себе дисплазия не несет опасности для жизни женщины, но риск ее перерождения в рак очень высок, что и делает патологию потенциально опасной. По статистике, диагноз «дисплазия шейки матки» ежегодно ставится 40 млн. женщин во всем мире.

Цервикальная дисплазия
Цервикальная дисплазия

Часто дисплазию путают с цервикальной эрозией, для которой характерно механическое повреждение клеток эпителия. При цервикальной дисплазии клетки видоизменяются, как правило не затрагивая верхний шар и его оболочку. Правильная и своевременная диагностика является залогом эффективности лечения недуга.

Цервикальная дисплазия протекает бессимптомно и предположить о ее наличии можно только во время гинекологического осмотра. Точно установить, что имеет место дисплазия, а не эрозия шейки матки может только ПАП-мазок. Крайне редко, у 1% больных, могут наблюдаться видимые симптомы, такие как возникновение генитальных бородавок.

Хоть дисплазия шейки матки и не сигнализирует о себе длительное время, у многих женщин она сопровождается различными воспалительными заболеваниями, такими как кольпит и цервицит. Болезненные ощущения, дискомфорт и зуд, которые приносят эти патологии, заставляют женщину обратиться к специалисту — именно это и помогает выявить дисплазию тканей, о которой пациентка даже не догадывалась.

Воспалительный процесс, который может сопровождать дисплазию

Для дисплазии шейки матки характерны такие признаки:

  • увеличение в размере клеток эпителия, образование в них нескольких ядер
  • отекание клеток промежуточного слоя
  • частое наличие фонового заболевания (воспалительного или ЗППП)

Отсутствие симптомов на ранних стадиях дисплазии приводит к тому, что заболевание успешно перетекает в более тяжелую стадию, лечение которой, зачастую, только хирургическое.

Причины дисплазии шейки матки

Атипичному развитию и структуре клеток шейки матки способствуют как внутренние, так и внешние факторы. Специалисты выделяют такие причины цервикальной дисплазии:

  • длительный прием оральных контрацептивов
  • ранний половой опыт (до 18 лет)
  • беспорядочные связи с многими половыми партнерами
  • заболевание вирусом папилломы
  • вредные привычки: алкоголизм и табакокурение
  • многочисленные роды, сопровождающиеся повреждением шейки матки
  • наследственная предрасположенность
  • хронические воспалительные процессы
  • иммунодефицитные состояния (при СПИДе, сахарном диабете)
  • аборты
  • пренебрежение элементарными правилами личной гигиены

Беспорядочная половая жизнь — одна из главных причин атипичного преобразования клеток цервикального канала
Таким образом, риск заболевания дисплазией шейки матки есть у всех женщин и даже девушек, которые ведут половую жизнь. Немаловажную роль в возникновении атипичных клеток играет и ранее начало половой жизни, ведь в это время слизистая оболочка влагалища и железы до конца не сформированы и не могут в полной мере выполнять свои защитные функции.

Профилактика дисплазии шейки матки

Предотвратить дисплазию шейки матки нельзя — не существует препаратов или вакцин, защищающих от этого недуга. Но можно значительно снизить риск ее возникновения благодаря правильному образу жизни и регулярными посещениями гинеколога.

Регулярное посещение гинеколога — залог здоровья половых органов женщины

Регулярность проведения обследования с целью выявления дисплазии и рака шейки матки:

  • Через 3 года после начала половой жизни или после достижения 21 года
  • Если предыдущие ПАП-тесты были отрицательными, то повторное обследование необходимо проходить через каждые 2 года
  • Женщинам, которые достигли 30-летнего возраста и старше, производить обследование необходимо не реже чем раз в 3 года
  • Женщинам после 70 лет можно остановить регулярные обследования, если на протяжение 10 лет результаты теста были негативными
  • Женщинам, которым была удалена матка, производить обследование нецелесообразно

Кроме обследований необходимо соблюдать следующие правила профилактики:

  • отказ от вредных привычек
  • питание должно включать витамины (Е, А, С, группы В)
  • соблюдение личной гигиены
  • упорядоченная половая жизнь
  • отказ от гормональных методов контрацепции
  • своевременное лечение воспалительных заболеваний половой сферы
  • прием иммуномодуляторов

Профилактика и осмотр специалиста значительно снижают риски атипичных изменений шейки матки

Стадии дисплазии шейки матки

Если же методы профилактики не помогут в предотвращении цервикальной дисплазии, то своевременное ее выявление станет залогом успеха.

Развитие атипичного состояния шейки матки происходит постепенно, проходя определенные стадии, которые характеризуются тяжестью патологии.

Выделяют такие стадии дисплазии:

  1. Слабая степень — изменения клеток охватывают треть базального слоя эпителия, ярко выражены признаки папилломавирусной инфекции. Диагностика затруднительна, но возможна
  2. Средняя степень — изменения клеток шейки матки более выражены. 50% эпителия поражено атипичными изменениями
  3. Тяжелая степень — патологический процесс хорошо выражен, имеются в большом количестве гиперхромные клеточные ядра. Две трети поверхности шейки матки подвержены изменениям

Степени развития дисплазии и ее переход в рак шейки матки
Выявление цервикальной дисплазии на любой стадии не говорит о скором наступлении рака. Онкология является одним из рисков дальнейшего развития заболевания, но никто с четкой уверенностью не может сказать, что измененные клетки не начнут агрессивно делится и проникать в соседние ткани.

Дисплазия шейки матки имеет такой прогноз:

  • у 1% женщин, имеющих дисплазию слабой степени, она переходит в дисплазию средней или тяжелой степени
  • дисплазия средней степени у 16% женщин переходит в заболевание средней степени за 2 года, у 25% — в течение 5 лет
  • 32% больных тяжелой степенью цервикальной дисплазии сталкиваются с раком

Риск перерождения дисплазии в рак шейки матки значителен, поэтому не стоит пускать заболевание на самотек, надеясь что худшее Вас обойдет. Своевременная диагностика может спасти Вашу жизнь.

Рак шейки матки

Степени дисплазии

Дисплазия классифицируется на основании следующих характеристик:

  • насколько сильно измененные клетки проникли в эпителиальные ткани;
  • какие именно произошли изменения в структуре клеток;
  • морфология участка повреждения.

Исходя из этого дисплазия делится на три степени:

  • 1 степень – слабая форма недуга, при которой атипичные клетки поражают нижнюю треть эпителиального слоя. Модификация базального слоя выражена не ярко, но в анализах имеются признаки папилломавируса;
  • 2 степень – умеренная форма. Структурные изменения становятся более яркими, атипия наблюдается в половине эпителия, отмечается прогресс морфологических изменений в клетках;
  • 3 степень – тяжелая форма. Поражения атипичного характера наблюдаются максимально глубоко, структурные клеточные изменения выражены сильно, можно наблюдать патологическое деление клеток, а в самих клетках имеются неправильные или слишком крупные ядра. Патология затрагивает только слизистую, и не касается соседних тканей, мышц, сосудов и нервов.

Диагностика дисплазии шейки матки

Если при осмотре на гинекологическом кресле Вам ставят диагноз «дисплазия шейки матки» бегите подальше от такого специалиста. С помощью элементарного осмотра выявить атипичные клетки может только гинеколог с экстрасенсорными способностями, а профессиональная диагностика должна обязательно включать:

  • Цитологический тест
  • Кольпоскопию
  • Биопсию (при необходимости)

Цитология или ПАП-тест — соскоб верхнего шара клеток с цервикального канала и шейки матки, которые исследуются в лабораторных условиях.

Задача этого теста — выявить атипичные клетки, имеющие нехарактерную структуру и размеры для клеток верхнего шара шейки матки. Как правило, дисплазия диагностируется в 5% взятых мазков.

При необходимости тест проводится повторно, так как на начальной стадии дисплазии поражена небольшая часть поверхности, что затрудняет диагностику.

Забор мазка для цитологического исследования

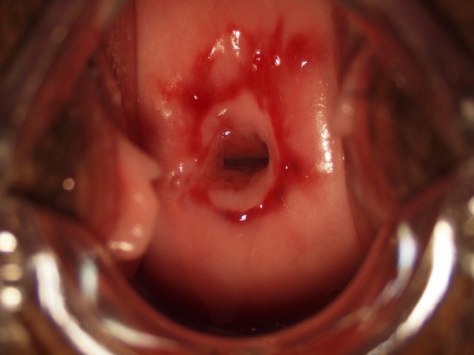
Кольпоскопия — исследование шейки матки специальным аппаратом, который увеличивает и подает на монитор изображение. Благодаря этому бесконтактному и абсолютно безболезненному способу диагностики можно увидеть атипичную поверхность слизистой оболочки.

Кольпоскопия

  • Во время кольпоскопии может быть произведен простой осмотр шейки матки, а также осуществлен забор биоматериала для дальнейшего исследования
  • Если при простом взятии мазка могут быть взяты клетки со здорового участка эпителия, а атипичные останутся незамеченными, то при кольпоскопии существует большая вероятность выявления пораженного участка и дальнейшего исследования его клеток
  • Если при кольпоскопии были обнаружены измененные участки, то для определения тактики лечения врач может назначить биопсию. Этот метод диагностики осуществляется под местной анестезией и представляет собой забор фрагмента ткани с видоизмененного участка

Биопсия предполагает изучение клеток взятого биоматериала

Биопсия противопоказана при наличия каких-либо воспалительных процессов. Если же существует безотлагательная необходимость проведения этого исследования, то биопсия осуществляется на фоне антибиотикотерапии.

Можно ли вылечить дисплазию шейки матки?

Дисплазию шейки матки часто называют предраком, но не смотря на столь грозное название она поддается лечению. Более того, медицина разработала достаточно эффективные способы лечения цервикальной дисплазии. Их врач подберет в зависимости от степени заболевания и специфики его протекания.

Если развитие атипичных клеток не останавливается, а продолжает прогрессировать, то прибегают к следующим методам лечения:

  • деструкция жидким азотом
  • прижигание (конизация)
  • выжигание лазером
  • хирургическое вмешательство (в очень тяжелых случаях)

Хирургическое лечение цервикальной дисплазии

Когда возможно консервативное лечение?

В большинстве случаев дисплазию лечат медикаментозными средствами или прибегают к хирургическому вмешательству. Однако, если степень дисплазии некритична (1 или 2 без осложнений), можно попробовать справиться с недугом народными методами.

Консультация врача перед использованием народных средств обязательна, поскольку только грамотный специалист может определить, насколько целесообразно подобное лечение, а также выяснить, нет ли у пациентки противопоказаний к применению того или иного нетрадиционного способа лечения.

Препараты для лечения дисплазии шейки матки

Наиболее радикальным методом лечения дисплазии шейки матки является оперативное вмешательство. К нему прибегают только если все менее инвазивные методы не могут принести положительных результатов.

Часто врачи избирают выжидательную тактику и наблюдают за течением заболевания, не применяя радикальных методов лечения.

На этом этапе могут быть назначены:

  • иммуномодуляторы
  • витамины
  • селен
  • противовоспалительные средства (при необходимости)
  • бета-каротин

При лечении дисплазии большое значение имеет прием витаминов и иммуномодуляторов

Лечение дисплазии шейки матки народными средствами

Народная медицина предлагает большое количество рецептов, призванных излечить цервикальную дисплазию. Об их эффективности нет научных данных, поэтому использование должно быть согласовано с лечащим врачом.

Наиболее популярны такие рецепты:

Тампоны из крапивы

200 г листьев крапивы измельчите на мясорубке и выдавите сок. В нем пропитайте тампон и поместите во влагалище на 15 минут. Эту процедуру следует повторять на протяжении месяца, не более одного раза в день.

Крапива

Сосновый отвар

Почки сосны измельчите и кипятите на протяжении 2 минут, предварительно залив стаканов воды. Полученный отвар остудите и дайте настояться в течение 2 часов. Используйте средство в течение месяца для спринцевания.

Сосновые почки

Листья алое

Лист алое хорошо промойте и измельчите. Выдавите сок и пропитайте им тампон, а затем пометите во влагалище на 10 минут. Повторяйте процедуру утром и вечером на протяжении двух-трех недель.

Алое

Облепиховое масло

Сделать тампон можно и с использованием масла облепихи. Приобрети его можно в любой аптеке — стоимость такого средства очень демократична. Вымоченные в масле тампоны следует ставить во влагалище на 10 минут в течение недели, после чего делать недельный перерыв и снова повторить курс.

Облепиховое масло

Гомеопатия

Лечение дисплазии шейки матки народными средствами должно быть основано на рекомендациях врача. Самолечение может усугубить ситуацию и вызвать негативные последствия в виде осложнений.

Гомеопатия поможет ускорить выздоровление, однако принимать те или иные гомеопатические препараты следует только по рекомендации медицинского специалиста. Поскольку у женщин с шеечной дисплазией часто наблюдается нехватка фолиевой кислоты, рибофлавина, селена, а также витаминов А, С, и Е, лечение включает ежедневный прием витаминных препаратов и фолиевой кислоты (по 10 мг). Источниками витамина В9 выступают соевые продукты, цельные крупы, овощи с зелеными листьями.

Хорошо зарекомендовал себя гомеопатический препарат под названием «Сепия» (Sepia). Его следует принимать ежедневно по 3 гранулы (под язык). Длительность лечения составляет 1-2 месяцев. Это средство регулирует менструальный цикл.

При шеечной дисплазии рекомендуется принимать в виде отваров либо приправ растения с фитоэстрогенами (веществами, схожими по своей химической структуре с эстрогенами человека): анис, сою, шалфей, клевер, солодку, хмель и душицу.

Если установлен возбудитель дисплазии – вирус папилломы человека, рекомендуются к приему свечи Папиллокан, содержащие масло чайного дерева и экстракт туи. Суппозитории способствуют восстановлению локального кровообращения на участках пораженной ткани, а также борются с самим вирусом. Ацидум нитрикум – еще один растительный препарат, который нашел свое широкое применение в комплексном лечении папилломавируса.

Дисплазия шейки матки часто сопровождается другими гинекологическими заболеваниями (кольпитом, воспалением придатков, молочницей). Гинекохель – современный гомеопатический препарат, действие которого как раз направлено на устранение гинекологических воспалений, а также снижение отечности тканей. Он используется как вспомогательный компонент наряду с другими терапевтическими методами.

Овариум композитум – гомеопатическое средство с гомотоксичным действием, нормализует гормональный баланс, улучшает состояния клеток маточной ткани. Препарат доказал свою эффективность в случаях, когда шеечная дисплазия сопровождается сбоями в менструальном цикле. Кроме того, Овариум улучшает работу ЦНС и снижает тревожность.

Lycopodium – растительный препарат, который активизирует кровоснабжение маточной шейки, а также оказывает положительное влияние на регенерацию пораженных участков ткани, улучшает обменные процессы.

Облепиховое масло выступает активным стимулятором регенерации тканей, а также обладает выраженным противовоспалительным действием. Поэтому при дисплазии можно применять влагалищные тампоны, смоченные в облепиховом масле, перед сном в течение 2-х месяцев.

Весьма эффективным в лечении дисплазии маточной шейки является следующий рецепт. Цветки календулы (20 г) смешать с оливковым маслом (200 мл) и поместить на 7-10 дней в темное место, затем процедить. Ежедневно использовать тампоны, смоченные в полученном масляном экстракте, которые необходимо вводить глубоко во влагалище. Курс такого лечения составляет 2 недели.

Прополис давно зарекомендовал себя как эффективное противовоспалительное и обеззараживающее средство. При шеечной дисплазии можно использовать следующий рецепт: 10 г прополиса смешать со сливочным маслом (150-200 г) в растопленном виде, поместить в емкость и прокипятить 10 минут на слабом огне. Полученный раствор процедить и использовать для тампонирования. Вводить тампоны нужно глубоко во влагалище на 30 мин., длительность лечения – 1 месяц.

Из основных «плюсов» гомеопатии можно выделить относительную дешевизну препаратов, индивидуальный подход к пациенту, абсолютную безвредность, широкий спектр действия. Такие препараты могут помочь в случаях, когда другие методы терапии не дают желаемого результата. Вопросы о дозировке и частоте приема фитопрепаратов решает врач, исходя из полученных в процессе обследования данных.

Возможны ли рецидивы дисплазии шейки матки?

Излечение дисплазии, к сожалению, не означает того, что о болезни можно навсегда забыть. Всегда остается риск рецидива, но его можно снизить до незначительной отметки. Как утверждают специалисты шанс рецидива во многом зависит от лечения и последующей профилактики:

  • Медикаментозное лечение и прижигание (без последующих мероприятий по профилактике) — до 40% случаев рецидива
  • Хирургический метод — риск возвращения дисплазии составляет 15%
  • Комплексное лечение (хирургический метод, медикаментозное лечение и профилактика) — риск рецидива составляет не более 3%

Цервикальная дисплазия может вернуться снова
На возможность рецидива влияют и другие факторы:

  1. возраст (чем старше женщина, тем большая вероятность возвращения цервикальной дисплазии)
  2. активность иммунной системы (при иммунодефицитном состоянии риск в разы выше)
  3. наличие хронических заболеваний
  4. гормональный фон

Причины патологии и ее симптоматика

Прежде чем говорить о том, как вылечить недуг, рассмотрим, какие причины провоцируют его образование.

Чаще всего проблема вызвана вирусом папилломы человека.

Доказано, что ним инфицировано порядка 90% всего населения, однако же дисплазия при этом развивается не в каждом случае. В список предрасполагающих факторов входят:

  • Ранняя половая жизнь.
  • Прерывание беременности.
  • Патологии мочеполовой системы.
  • Потакание вредным пристрастиям – курению и употреблению алкогольных напитков.
  • Наличие хронических заболеваний.
  • Недостаток в организме витаминов.
  • Продолжительное употребление препаратов, содержащих гормоны.

Опасность состоит в том, что признаки в 20% случаев могут отсутствовать. Заболевание обнаруживается в процессе обязательного гинекологического осмотра либо при присоединившейся вторичной инфекции. В остальных случаях наблюдают:

  • Влагалищные зеленоватые выделения, запах которых крайне неприятен.
  • Периодически проявляющееся в нижнем отделе живота ноющее болевое ощущение. Когда женщина пользуется тампонами либо занимается сексом, боль усиливается.
  • Во влагалище появляется ощущение сухости, зуд и жжение.
  • После сексуального контакта появляются кровянистые выделения.

Подобным образом может проходить и легкая степень, но по мере ее развития симптоматика усиливается – наблюдаются гормональные нарушения, отсутствие овуляции, пропадает влечение к партнеру. Сношение болезненно, поскольку влагалищная смазка практически не выделяется.

Дисплазия шейки матки и беременность

Диагноз «дисплазия шейки матки» при беременности не должен Вас пугать. Конечно, это состояние так же опасно для организма, но на беременность атипичные изменения не влияют никак.

Так же и беременность ни в коей мере не может негативно сказаться на заболевании. В отдельных случаях, когда наблюдается дисплазия тяжелой степени, роды могут произойти преждевременно.

Если у женщины тяжелая степень дисплазии шейки матки, то родоразрешение производится путем кесарева сечения, так как естественные роды ей противопоказаны.

Дисплазия не влияет на беременность
Во время беременности лечение дисплазии не проводится. Его откладывают до родоразрешения, но продолжают наблюдать за динамикой развития с помощью кольпоскопии. Если же у женщины цервикальная дисплазия перерождается в рак I степени, то ее лечением будет заниматься онкогинеколог.

Примечания

  1. При употреблении раствора внутрь, необходимое количество капель смешивается с половиной стакана вскипяченной остуженной воды.
  2. Принимать АСД предпочтительно за полчаса до приема пищи.
  3. Во время прохождения курса запрещается употреблять спиртные напитки.
  4. Так как средство способствует сгущению крови, рекомендовано во время прохождения терапевтического курса употреблять больше жидкости и кислых фруктов.
  5. Перед применением растворов, свечей и тампонов необходимо провести предварительное гигиеническое спринцевание влагалища слабым раствором пищевой соды ( 1 чайная ложка на литр воды).
  6. Вам понадобится эта информация: «Тонкости приготовления 1%-го раствора АСД-2″

Питание при дисплазии шейки матки

Кроме лечения при цервикальной дисплазии назначается также диета. Ее целью является предотвращение озлокачествления видоизмененных клеток шейки матки, а также насыщение организма необходимыми витаминами и микроэлементами.

Разрешенные и запретные продукты указывает врач и введение какого либо ингредиента или добавки в меню Вы должны с ним обсуждать.

Специальная диета разработана для того, чтобы организм получал в достаточном количестве бета-каротин, витамины группы В, А, Е, С.

Все крестоцветные очень полезны при цервикальной дисплазии
При дисплазии необходимо употреблять:

  • капусту, брокколи
  • вишню, чернику
  • помидоры и болгарский перец
  • мясо, рыбу
  • бобы
  • оливковое масло
  • зеленый чай
  • 2,5 литра воды

Из рациона следует исключить:

  • алкоголь
  • десерты, сладости, фастфуд и маргарин, имеющие в своем составе транс-жиры
  • кофе

Дисплазия шейки матки — опасное заболевание, но оно не является синонимом рака и не во всех случаях приводит к нему. Правильное лечение, своевременная профилактика и смена образа жизни помогут предотвратить тяжелые последствия дисплазии и уберегут от онкологии.

Прием витаминов

Для успешного лечения недуга нельзя забывать о роли в этом процессе витаминов.

При дисплазии необходимы такие витамины, как:

  • фолиевая кислота – чтобы нормализовать клеточное деление и не допустить мутацию;
  • витамин А – для ускорения регенерации;
  • витамин В1 – для защиты от мутаций;
  • витамин В2 – для улучшения кровообращения, повышения иммунитета и нейтрализации токсинов;
  • витамин В6 – для противоопухолевого эффекта;
  • витамин В12 – для нормализации репродуктивной функции;
  • витамин С – для улучшения обмена веществ;
  • витамин Е – антиоксидантный эффект;
  • бета-каротин – для симуляции иммунитета;
  • селен – для снижения риска онкологии.
Ссылка на основную публикацию
Похожее