Пн-пт: 10:00—20:00; сб: 10:00—15:00 по предварительной записи
whatsapp telegram vkontakte email

Показания, способы и расшифровка цитологического исследования молочной железы

Кому же необходимо цитологическое исследование груди?

Цитологическая диагностика очень информативна, а достоверность при этом составляет порядка 95 — 98 %. Поэтому данное исследование необходимо в следующих случаях:

  • при наличии новообразования для уточнения этиологии происхождения клеток — злокачественные или доброкачественные;
  • для установки степени дифференцировки опухолевых клеток, а так же для определения подвида по структуре и изменению формы;
  • для определения стадии распространенности образования;
  • для получения информации об изменениях фона протекающего заболевания, к примеру, возникновение хронических воспалений в очаге поражения;
  • в качестве дополнительного источника изучения флоры бактериального характера;
  • для исходного прогноза заболевания.

Очень важно, что цитологическое исследование молочной железы обязательно проводят в комплексном обследовании области груди для лучшей расшифровки интерпретации результатов.

Расшифровка

Важно не только правильно проведенное цитологическое исследование, но и грамотная расшифровка результатов. Трактовку анализов проводит врач. Самая благоприятная картина наблюдается при интерпретации результатов нормы. Исследуемые ткани молочных желез в этом случае не содержат аномальных клеток, воспаления, дополнительных включений.


Нередко при цитологическом исследовании выявляется доброкачественный состав клеток опухоли. Если в анализируемом материале обнаруживаются макрофаги, нейтрофилы, гистиоциты (вид макрофагов, которые у здоровых людей присутствуют в соединительной ткани), то это говорит о протекании воспалительного процесса. Распространенным диагнозом у женщин является фиброзно-кистозная болезнь молочных желез.

Поражение характеризуется изменениями строения паренхимы, стромы, образованием кистозных элементов. Стимулом для развития патологического процесса выступает дисбаланс гормонов.

В результатах гистологического обследования при наличии фиброзно-кистозного мастита присутствуют такие изменения:

  • единичные пенистые макрофаги;
  • ксантомные клетки;
  • признаки внутрипротоковой пролиферации эпителия разной выраженности;
  • голоядерные клетки.

Что представляет собой цитология молочной железы?

Цитологическое исследование молочных желез – это один из методов диагностики, направленный на оценку и изучение клеточного материала.

Данный вид обследования дает возможность увидеть динамику изменений морфологии на клеточном уровне в период не только болезни, но и лечения, то есть, можно, не дожидаясь конечного результата, оценить эффективность назначенной терапии.

Метод цитологии достаточно доступен в плане денежных средств, поэтому воспользоваться им может любой человек, попавший в группу риска.

Для исследования отбирают материал при помощи пункции молочной железы. Основной целью метода будет правильно расшифровать и диагностировать заболевание, во избежание лишних оперативных манипуляций.

Разновидность цитологической диагностики

На сегодняшний день диагностика в цитологии молочной железы очень разнообразна, а так же современна и качественна.

К распознаванию и получению материала ткани новообразований относят следующие методы:

  • ТАБ;
  • отпечаток с трепанобиоптата;
  • при выделении из молочных желез – отделяемое;
  • интраоперационный;
  • жидкостной цитологии.

Способ получения пробы зависит от места расположения опухоли, а так же ее структуры и формы.

ТАБ (тонкоигольная аспирационная биопсия молочной железы) – самый простой и малотравматичный метод забора материала, проводимый достаточно безболезненно и быстро.

Используемый инструмент схож по принципу работы с вакуумным насосом. Отобранные для исследования клетки при применении давления засасываются для того, чтобы выявить их этиологию происхождения.

Прокол пораженного очага в груди будет проведен при этом полой тонкой иглой.

Метод предоперационной трепанобиопсии молочных желез – дорогостоящий метод и при этом более травматичный. Применяется при следующих случаях:

  • нет возможности пропальпировать опухоль в груди;
  • имеются множественные кальцинаты;
  • при протоковой карциноме in situ;
  • при формах рака молочной железы со слабо выраженной атипией, к примеру тубулярный рак или дольковый рак.

По чувствительности способ забора материала не сильно различается с ТАБ, но при этом информативность данных на порядок выше. При тонкоигольной аспирационной — от 82,3 до 97 %, при трепанобиопсии от 90 до 100 %.

Интересно!

Исследование отделяемого молочной железы осуществляется с помощью сцеживания выделяемой жидкости. После проводят цитологический анализ путем взятия мазков-отпечатков на определение клеточного состава.

Как правило, он напоминает состав выделяющегося молозива или молока. Этот метод называют также эксфолиативной цитологией.

Интраоперационная цитология возможна в случае удаления новообразования молочной железы во время операции и взятие в дальнейшем с ткани соскоб на диагностику; а жидкостная, в свою очередь, принадлежит морфологическому методу исследования.

В качестве материала используют пунктаты из новоорбразований, отпечатки, а так же отделяемое из сосков. Жидкостный метод исследования является наиболее точным для изучения материала тканей.

Приготовление препаратов

При получении небольшого количества жидкости (из кист, выделений из соска), препараты готовят как мазки крови: каплю выделений помещают на стекло, каплю из иглы выдувают, и с помощью специального стекла с шлифованным краем или пластикового шпателя для приготовления мазков крови делают препарат. Капля следует (тянется) за стеклом (шпателем) до образования на крае препарата “щеточки”, которой заканчивается мазок.

При наличии объемных жидкостных образований весь полученный материал помещают в пробирку и доставляют в лабораторию. При получении жидкости она должна быть полностью эвакуирована; в этом случае пункция молочной железы может быть и диагностической и лечебной процедурой. Наличие прозрачной жидкости чаще всего свидетельствует о доброкачественном процессе (кистозной полости).

Жидкий материал или клеточная суспензия в контейнере (жидкостная цитология) подлежат дальнейшей обработке в лаборатории. Можно готовить “традиционные” мазки из жидкостей после их центрифугирования или стандартные тонкослойные препараты методом жидкостной цитологии. Если клеточная суспензия богата материалом, а также содержит небольшие клочки ткани, возможно приготовление из нее клеточных блоков (цитоблоки, вариант гистологического исследования).

Окрашивание можно проводить любым методом. При необходимости выполняют молекулярное исследование (проточная цитометрия, иммуноцитохимическое, молекулярно-генетическое исследования и др.).

Дифференциальная диагностика

Дифференциальная диагностика рака молочной железыпридетальном обследовании позволяет правильно и своевременно установить диагноз в 80 % случаев.

Помимо злокачественных образований, в области груди могут возникнуть и доброкачественные, к примеру, фиброаденомы, маститы или фиброзно-кистозная болезнь.

Фиброзно-кистозная мастопатия имеет симметричный процесс, располагающийся там, где железистая ткань более выражена.

Фиброаденомы имеют приглаженную поверхность и прочную консистенцию. Оба новообразования достаточно подвижны в ткани.

Мастит характеризуется покраснением пораженного очага, повышением температуры тела. Начинается острыми болями, а так же молочная железа увеличивается в размере.

Точное подтверждение при дифференциальной диагностике получают после прокола пункции молочной железы и появления результата цитологического исследования.

Методика проведения

Определение рецепторов эстрогенов и прогестерона, рецепторов HER2/neu в пунктатах молочной железы – исследования, которые при раке молочной железы должны быть выполнены у каждой больной для определения лечебной тактики.

Опухоли с наличием рецепторов к эстрогенам отличаются хорошим прогнозом, ответом на гормональную терапию. Опухоли с положительной реакцией на HER2/neu и отрицательной на рецепторы эстрогенов отличаются плохим прогнозом и низкой продолжительностью жизни, однако возможен хороший ответ на таргетную терапию трастузумабом.

  1. Пункция
  1. Биопсия

Подготовка к обследованию

Результат исследования будет составлен достаточно быстро, что позволит вовремя начать необходимое лечение и своевременно выявить причину возникновения патологического состояния пролиферации ткани.

Перед процедурой необходимо придерживаться следующих правил:

  1. За неделю до цитологического исследования нельзя принимать антикоагулирующие средства, в том числе и Аспирин.
  2. Во время обследования необходимо быть в бюстгальтере.
  3. В день забора материала запрещено использовать любые ароматические вещества, в том числе и использовать дезодорант.
  4. Перед взятием пунктата или отделяемой жидкости следует помыть грудь.

Несмотря на жесткий запрет в употреблении коагулянтов, прием успокоительных медикаментов разрешен.

Техника проведения процедуры

Цитологию молочной железы можно произвести несколькими способами. В зависимости от выбора взятия материала и техника проведения будет различна.

Прогноз

Прогноз при диффузной мастопатии в целом благоприятный при правильной врачебной тактике, озвученной выше.

Ковтонюк Оксана Владимировна, медицинский обозреватель, хирург, врач-консультант

всего, сегодня

(61 голос., средний: 4,49 из 5)

    Похожие записи
  • Рак Педжета: причины, симптомы, лечение
  • Медицинские проблемы большой груди, как уменьшить грудь

Причины и факторы риска

Гемосидерин образуется в процессе расщепления молекул гемоглобина под действием определенных ферментов в клетках-сидеробластах. В норме незначительное количество гемосидерина содержится в клетках лимфоидной ткани, костного мозга, селезенки и печени. При увеличении синтеза гемосидерина его излишки откладываются в клетках других тканей.

Общий гемосидероз – всегда вторичная патология, развитие которой обусловлено аутоиммунными процессами, интоксикациями, инфекциями или заболеваниями крови. Наиболее частыми причинами гемосидероза являются:

  • гемолитическая анемия;
  • отравление гемолитическим ядом (хинином, свинцом, сульфаниламидами);
  • лейкемия;
  • многократные гемотрансфузии;
  • цирроз печени;
  • резус-конфликт;
  • инфекционные заболевания (возвратный тиф, малярия, бруцеллез, сепсис);
  • декомпенсированная сердечная недостаточность;
  • хроническая венозная недостаточность;
  • сахарный диабет;
  • дерматиты;
  • экзема.

Некоторые специалисты считают, что в патологическом механизме развития гемосидероза важную роль играют наследственная предрасположенность и расстройства иммунной системы.

Формы заболевания

По степени распространения патологического процесса выделяют:

  • общий (генерализованный) гемосидероз – к нему приводит возникающий на фоне каких-либо системных процессов внутрисосудистый (эндоваскулярный) гемолиз эритроцитов. Гемосидерин откладывается в селезенке, красном костном мозге, печени, в результате чего они приобретают ржавую, бурую окраску;
  • местный (локальный) гемосидероз – развивается в результате внесосудистого (экстраваскулярного) гемолиза. Накопление гемосидерина может наблюдаться как в небольших участках тела (в области гематом), так и в пределах какого-либо органа (например, легкого).

Гранулы гемосидерина
Гранулы гемосидерина
По особенностям клинического течения выделяют:

  • гемосидероз кожи (охряный дерматит, пурпурозный ангиодермит, лихеноидный пигментный дерматит, старческий гемосидероз, кольцевидная телеангиэктатическая пурпура Майокки, болезнь Шамберга);
  • легочный идиопатический гемосидероз (бурая индурация легких).

Легочный гемосидероз прогрессирует и приводит к инвалидизации пациентов. Он может осложняться массивными легочными кровотечениями, влекущими быструю гибель.

В некоторых случаях отложение гемосидерина становится причиной нарушения функции пораженного органа и развития в нем структурных изменений. Это форма гемосидероза называется гемохроматозом.

Симптомы

Клиническая картина гемосидероза зависит от формы заболевания.

Легочный идиопатический гемосидероз диагностируется в основном у детей и лиц молодого возраста, характеризуется периодически возникающими легочными кровотечениями различной степени выраженности, нарастающей дыхательной недостаточностью и стойкой гипохромной анемией.

В острой фазе заболевания наблюдаются:

  • одышка;
  • боли в грудной клетке;
  • кашель с отделением кровянистой мокроты;
  • бледность кожных покровов;
  • иктеричность склер;
  • цианоз носогубного треугольника;
  • слабость;
  • головокружение;
  • повышение температуры тела.

Кашель с кровью – один из симптомов гемосидероза
Кашель с кровью – один из симптомов гемосидероза
В период ремиссии клинические проявления заболевания выражены очень слабо или полностью отсутствуют. После каждого периода обострения идиопатического легочного гемосидероза длительность периода ремиссии уменьшается.

Кожная форма гемосидероза возникает чаще у мужчин старше 40 лет. Течение хроническое доброкачественное. На кожных покровах предплечий, кистей, голеней и лодыжек появляются пигментные пятна кирпично-красного цвета. Со временем цвет элементов сыпи изменяется на желтоватый, темно-коричневый или бурый. Поражения внутренних органов при кожной форме гемосидероза не происходит, общее состояние не страдает.

Как избежать обострения экземы: 7 правил

7 заблуждений о витилиго

12 заблуждений о седине

Диагностика

Диагностика гемосидероза основывается на характерных клинических признаках заболевания, данных лабораторных и инструментальных методов обследования. Назначается общий анализ крови, определяется концентрация сывороточного железа.

При подозрении на гемосидероз проводят десфераловую пробу. Для этого внутримышечно вводят дефероксамин, а затем определяют содержание железа в моче. Проба считается положительной, если в порции мочи содержится свыше 1 мг железа.

Диагностика гемосидероза предполагает проведение десфераловой пробы с введением дефероксамина внутримышечно
Диагностика гемосидероза предполагает проведение десфераловой пробы с введением дефероксамина внутримышечно

Для подтверждения диагноза выполняют пункционную биопсию костного мозга, легкого, печени или кожи с последующим гистологическим исследованием полученной ткани.

Общий гемосидероз – всегда вторичная патология, развитие которой обусловлено аутоиммунными процессами, интоксикациями, инфекциями или заболеваниями крови.

При гемосидерозе легких также осуществляют:

  • спирометрию;
  • микроскопическое исследование мокроты;
  • перфузионную сцинтиграфию легких;
  • рентгенографию грудной клетки;
  • бронхоскопию.

Виды мастопатии

Различают диффузную и узловую мастопатию. Для диффузной формы характерно равномерное разрастание эпителия и соединительной ткани в молочной железе. При узловой мастопатии обнаруживают один или несколько уплотненных узелков с четкой границей — это результат местного разрастания фиброзной ткани и расширения протоков. По данным исследований, узловая мастопатия, будучи локальной формой заболевания, протекает легче, кроме того, она более благоприятна в плане прогноза. При мастопатии на микроскопическом уровне обнаруживается увеличение количества и размеров клеток эпителия — это явление называют гиперплазией. Различают дольковую (разрастание долек молочной железы) и протоковую (разрастание эпителия протоков) гиперплазию. Если при гиперплазии изменяется также форма клеток, ее расценивают как атипичную и склонную чаще других перерождаться в рак.

Аденоз молочных желез — это форма мастопатии с преобладанием гиперплазии железистого эпителия долек. Если преобладает гиперплазия эпителия молочных протоков, то отмершие в большом количестве эпителиальные клетки забивают просвет протоков, вызывая их расширение. Это явление называют эктазией протоков молочных желез.

Гиперплазия, аденоз и эктазия молочных желез обладают типичными симптомами мастопатии и часто используются в качестве ее синонимов.

Лечение

Терапия легочного гемосидероза начинается с назначения кортикостероидов. При ее неэффективности пациентам назначают иммунодепрессанты и проводят сеансы плазмафереза. В некоторых случаях удается добиться стойкой ремиссии после удаления селезенки (спленэктомии). Кроме того, проводится симптоматическая терапия с назначением бронхолитиков, гемостатиков и других препаратов (в зависимости от проявлений заболевания).

В составе комплексного лечение гемосидероза применяется плазмаферез

Лечение кожного гемосидероза заключается в местном применении кортикостероидных мазей. Также назначают ангиопротекторы, препараты кальция, рутин, аскорбиновую кислоту. При тяжелом течении заболевания показано назначение дефероксамина, ПУВА-терапии.

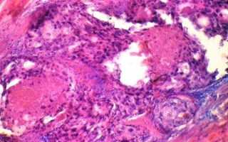
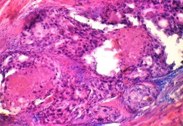
Макрофаги в молочной железе:

Макрофаги и нейтрофилы – это основные клетки, осуществляющие в организме процесс фагоцитоза – распознавания и уничтожения бактерий, раковых клеток, токсинов и других чужеродных частиц. Первые функционируют главным образом в тканях, вторые – в крови. Следовательно, в ткани молочной железы находятся прежде всего макрофаги. Если их там становится слишком много, значит, им есть, с чем бороться, а стало быть, орган поражен каким-то патологическим процессом.

Совершенно правильная логическая цепочка. Если в ткани молочной железы и выделениях из соска много фагоцитов, это говорит о патологии. Так, когда в препарате присутствуют нейтрофилы, макрофаги и гистиоциты (это разновидность макрофагов, находящаяся в норме в соединительной ткани), то это прямо указывает на наличие воспалительного процесса.

Перед лаборантом, изучающим добытый от пациента образец, стоит задача не только обнаружить, но и изучить строение найденных макрофагов. В них всегда немало всякого «мусора», который представляет собой остатки и фрагменты перевариваемых или уже переваренных ими агрессоров. Если удается распознать, что именно находится внутри макрофагов, это помогает понять, против чего боролись эти фагоциты, а значит, сделать вывод, что за болезнь у пациента.

Так, иногда встречаются макрофаги в молочной железе с включениями «обломков» эритроцитов и гемосидерина (гемосидерин – один из конечных продуктов разрушения гемоглобина). Если макрофаги с гемосидерином находят в препарате, это говорит о присутствии в железе полости, внутри которой находится кровь. Последнее встречается при посттравматических изменениях, при некоторых формах мастопатии.

Гемосидероз – основные симптомы:

  • Слабость
  • Кожный зуд
  • Головокружение
  • Повышенная температура
  • Учащенное сердцебиение
  • Увеличение печени
  • Одышка
  • Увеличение селезенки
  • Потеря аппетита
  • Боль за грудиной
  • Кровохарканье
  • Кашель с мокротой
  • Пониженное артериальное давление
  • Бледность кожи
  • Снижение работоспособности
  • Пожелтение кожи
  • Желтушность слизистых
  • Помутнение мочи
  • Посинение носогубного треугольника
  • Геморрагическая сыпь

Гемосидероз – это заболевание, которое относится к категории пигментных дистрофий, а также для него характерно скопление в тканях большого количества гемосидерина, который представляет собой железосодержащий пигмент. Механизм развития болезни остаётся до конца не известным, однако специалистами из области дерматологии установлено, что причины формирования могут отличаться в зависимости от формы протекания такого расстройства.

  • Этиология
  • Классификация
  • Симптоматика
  • Диагностика
  • Лечение
  • Возможные осложнения
  • Профилактика и прогноз

Симптоматическая картина также напрямую диктуется разновидностью недуга. Примечательно то, что гемосидероз может поражать как внутренние органы, так и кожный покров. Во втором случае пациенты очень редко предъявляют жалобы касательно ухудшения самочувствия.

Основу диагностики составляют лабораторные изучения крови, которые в обязательном порядке должны дополняться инструментальными процедурами и рядом манипуляций, выполняемых непосредственно клиницистом.

Лечение гемосидероза ограничивается применением консервативных методик терапии, в частности приёмом лекарственных препаратов. Однако при тяжёлом течении болезни может понадобиться такая процедура, как плазмаферез.

В международной классификации болезней десятого пересмотра такому заболеванию отведено несколько собственных шифров, отличающихся по варианту течения. Гемосидероз кожи имеет значение L 95.8. Гемосидероз лёгких код по МКБ-10 – J 84, а идиопатическая форма патологии – J 84.8.

Норма или патология

Наличие макрофагов в цитологическом исследовании молочных желез может быть нормой и патологией. Все зависит от количества данных иммунных клеток и их состава.

Если же данных клеток очень много и их состав не соответствует норме, то это свидетельствует о протекании патологического процесса. Большое скопление макрофагов говорит о том, что присутствует болезнетворная микрофлора, организму есть с чем бороться.

Это может быть воспаление, доброкачественное либо злокачественное образование. Для постановки диагноза проводятся дополнительные обследования (например, УЗИ, КТ, МРТ и т.п).

Этиология

Поскольку подобный недуг у детей и взрослых может быть первичным и вторичным, то и предрасполагающие факторы будут отличаться.

В первом случае патогенез и этиология гемосидероза остаются до конца не выясненными, однако клиницисты выдвигают несколько предположений, среди которых:

  • генетическая предрасположенность;
  • иммунопатологический характер патологии;
  • врождённые нарушения обменных процессов.

Что касается вторичного гемосидероза, то в качестве возможных причин могут выступать:

  • гемолитическая анемия;
  • лейкемия;
  • поражение печени циррозом;
  • протекание некоторых болезней инфекционной природы – сюда стоит отнести сепсис и возвратный тиф, малярию и бруцеллёз;
  • частые гемотрансфузии;
  • отравления химическими веществами и ядами. Наиболее часто в качестве провокаторов выступают сульфаниламиды, свинец и хинин;
  • протекание сахарного диабета и иных нарушений обмена веществ;
  • злокачественная артериальная гипертензия;
  • венозная недостаточность в хронической форме;
  • дерматит и нейродермит;
  • экземы и пиодермии;
  • любые нарушения целостности кожного покрова.

Классификация

По степени распространённости патологического процесса существует:

  • генерализованный или общий гемосидероз – формируется на фоне какого-либо системного процесса. В таких ситуациях гемосидерин скапливается в селезёнке и печени, а также в красном костном мозге, отчего они меняют свой окрас и становятся ржавыми или бурыми;
  • локальный, очаговый или местный гемосидероз – отличается тем, что накопление железосодержащего внутриклеточного пигмента может осуществляться как в небольших участках тела, например, в зоне гематом, так и в полости одного из внутренних органов. Наиболее часто это отмечается в лёгочных тканях.

По этиологическому фактору гемосидероз бывает:

  • первичным – причины на сегодняшний день остаются неизвестными;
  • вторичным – развивается на фоне протекания какого-либо из вышеуказанных недугов.

К самостоятельным типам болезни стоит отнести:

  • гемосидероз кожи;
  • идиопатический лёгочный гемосидероз, который в медицинской сфере носит название бурая пурпура лёгких.

В случаях поражения кожного покрова заболевание может протекать в нескольких вариациях, отчего делится на:

  • болезнь Шамберга;
  • кольцевидную телеангиэктатическую пурпуру Майокки;
  • старческий гемосидероз;
  • лихеноидный пигментный или пурпурозный ангиодермит;
  • охряный дерматит.

Вторичная форма патологии также имеет собственную классификацию:

  • гемосидероз печени;
  • гемосидероз почек;
  • гемосидероз костного мозга;
  • гемосидероз селезёнки;
  • гемосидероз с поражением слюнных или потовых желез.

Патологии железистой ткани

Различные патологические состояния в железистой ткани груди, как правило, развиваются при таких заболеваниях:

  • новообразования яичников или матки;
  • эндометриоз;
  • поликистоз яичников;
  • миома матки;
  • нарушения в работе эндокринной системы.

Гиперплазия железистых тканей

Патологическое состояние сопровождается активным разрастанием тканей и гормональным дисбалансом. Спровоцировать развитие недуга может ряд внутренних и внешних негативных факторов, а также наследственная (генетическая) предрасположенность. Заболевание может начать развиваться после механического воздействия на грудину, стресса, нервного истощения и продолжительного приема гормональных препаратов, особенно если они не подходят человеку. Были зафиксированы случаи, когда болезнь активно прогрессировала у людей, которые взаимодействуют с опасными химическими веществами.

Клиническая картина развития гиперплазии:

  • выделение секрета разного окраса, запаха и консистенции из соска;
  • периодические или постоянные боли в груди;
  • отечность мягких тканей;
  • при пальпации отчетливо выделяются узлы.

Диффузная форма протекает без выраженной клинической картины, поэтому дифференцировать недуг чрезвычайно сложно. В большинстве случаев диагноз ставят в ходе планового осмотра у маммолога.

В медицине гиперплазию железистых тканей делят на несколько видов.

Вид Особенности
Дисгормональная Развивается на фоне нарушения гормонального баланса.
Атипичная Состояние в медицине классифицируется как предраковое. Характеризуется активным разрастанием железистой, жировой и эпителиальной тканей.
Эпителиальная Характеризуется поражением слоя эпителия.
Стромальная Сопровождается формированием доброкачественной фиброзно-мышечной опухоли.
Узловая Прогрессирование патологии сопровождается формированием узлов.
Протоковая Происходит активное разрастание тканей в млечных протоках.
Диффузная Характеризуется образованием множественных зернообразных опухолей.
Кистозная В ходе обследования обнаруживают одиночные и множественные кисты.
Фиброзная Плотные новообразования, которые спаяны с окруженными тканями.

Патология, несмотря на размытую клиническую картину, требует лечения.

Железистая мастопатия

Это патологическое состояние сопровождается выраженной болезненностью в груди. Женщину беспокоит тяжесть и дискомфорт. Порой боли иррадиируют в подмышечную впадину. Из соска могут наблюдаться самопроизвольные выделения с примесями гноя.

В медицине существует несколько форм заболевания:

  • фиброзно-аденоматозная – состояние характеризуется разрастанием органических структур;
  • железисто-кистозная – в слоях мягких тканей образуются кисты;
  • железисто-фиброзная – образуются доброкачественные формирования.

Каждая форма имеет свои особенности течения, развития и лечения.

При проявлении первых симптомов патологии необходимо обращаться в медицинское учреждение. Лимфатические узлы железистая мастопатия, как правило, не затрагивает.

Симптоматика

Клиническая картина подобного заболевания у детей и взрослых напрямую диктуется разновидностью его протекания.

Таким образом, идиопатический гемосидероз лёгких представлен такими проявлениями:

  • продуктивным кашлем, т. е. с выделением мокроты;
  • кровохарканьем;
  • одышкой;
  • повышением температурных значений;
  • болевым синдромом с локализацией в грудине;
  • бледностью кожи;
  • иктеричностью склер;
  • синюшностью носогубного треугольника;
  • сильнейшими головокружениями;
  • слабостью и понижением работоспособности;
  • отсутствием аппетита;
  • учащением сердечного ритма;
  • понижением АД;
  • одновременным изменением объёмов печени и селезёнки в большую сторону.

На фоне того, что бурая индурация лёгких является тяжёлым недугом, подобный диагноз при жизни человека устанавливается достаточно редко.

Гемосидероз кожи прежде всего выражается в возникновении пигментных пятен, имеющих коричневый и в подавляющем большинстве случаев локализуется нижней части ног. Помимо этого, симптоматика такой вариации недуга также включает в себя:

  • возникновение геморрагической сыпи или небольших пигментных пятен, которые в диаметре варьируются от одного миллиметра до 3 сантиметров;
  • вовлечение в патологию голеней, предплечий и кистей;
  • вариабельность оттенка высыпаний – они могут быть кирпично-красными, бурыми, тёмно-коричневыми или желтоватыми;
  • незначительный кожный зуд;
  • формирование на проблемных участках кожного покрова петехий, узелков, лихеноидных папул и бляшек.

Симптомы гемосидероза кожи
Гемосидероз печени выражается в:

  • увеличении размеров и плотности поражённого органа;
  • болезненности при пальпации проекции этого органа;
  • скоплении большого количества жидкости в брюшине;
  • повышении кровяного тонуса;
  • желтушности кожных покровов, видимых слизистых и склер;
  • пигментации верхних конечностей, лица и подмышечных впадин.

В случаях вовлечения в патологический процесс почек будет отмечаться присутствие:

  • отёчности нижних конечностей и век;
  • отвращения к пище;
  • помутнения урины;
  • болей в области поясницы;
  • общей слабости и разбитости;
  • диспепсии.

Всю вышеуказанную симптоматику целесообразно относить к ребёнку и взрослому.

Диагностика

Поскольку гемосидероз, прежде всего, характеризуется изменением состава крови, то вполне естественно, что основу диагностики будут составлять лабораторные исследования.

При возникновении характерной симптоматики стоит обратиться за помощью к терапевту, который проведёт манипуляции первичного диагностирования и назначит общие обследования, а при необходимости направит пациента на дополнительную консультацию к иным специалистам.

Первый шаг в установлении правильного диагноза направлен на:

  • изучение истории болезни – для поиска патологических факторов, приводящих к вторичному гемосидерозу;
  • ознакомление с анамнезом жизни человека – для установления возможных источников первичной формы недуга;
  • тщательнейший физикальный осмотр больного, который обязательно должен включать в себя изучение состояния кожи, пальпацию передней стенки брюшной полости, измерение пульса и АД;
  • детальный опрос пациента – для составления полной симптоматической картины протекания болезни.

Лабораторные исследования основываются на:

  • общеклиническом анализе крови;
  • биохимии крови;
  • ПЦР-тестах;
  • общем анализе урины;
  • дисфераловой пробе;
  • микроскопическом изучении мокроты.

Самыми ценными в плане диагностики выступают такие инструментальные процедуры:

  • биопсия поражённого сегмента, т. е. кожного покрова, печени, почек, лёгкого, костного мозга и т. д.;
  • спирометрия;
  • бронхоскопия;
  • сцинтиграфия;
  • рентгенография грудины;
  • КТ и МРТ.

Процедура спирометрия

Влияние гиперплазии

Изменения эпителия молочных желез может быть тесно связано с различными заболеваниями, имеющимися у женщины. Таким довольно распространённым заболеванием считается гиперплазия, происходящая в тканях груди. С целью выявления максимального числа симптомов должна быть проведена диагностика эпителия, что в итоге поможет зафиксировать разновидность данной болезни. Стоит уяснить, что для профилактики заболевания необходимо периодически посещать таких врачей как гинеколог и маммолог.

Эпителий молочной железы

Существуют следующие виды и гиперплазии:

• узловая – проявляется выделениями в виде крови, слизи и молока; • кистозная – являет затвердевшие узлы, которые можно без труда нащупать, к тому же они неподвижны; • фиброзная гиперплазия эпителия молочной железы – выделяется присутствием в молочной железе кисты, вызывающей при ощупывании сильные боли, а при нажатии на железу – они просто нестерпимы.

Любые обнаруженные новообразования должны явится поводом для обращения к квалифицированному специалисту. При типичном протекании болезни на ранней стадии, терапия оказывается наиболее эффективной, а когда имеется предраковое состояние, то прибегают к хирургическому вмешательству.

В большинстве случаев изменения в молочной железе доброкачественной направленности связаны с клеточной гиперплазией. В этом варианте врач должен рассматривать подобные изменения через призму вероятного развития злокачественных образований.

Ссылка на основную публикацию
Похожее