Пн-пт: 10:00—20:00; сб: 10:00—15:00 по предварительной записи
whatsapp telegram vkontakte email

Размеры миомы матки по неделям и в сантиметрах: как определить риски

Миома матки представляет собой опухоль доброкачественного характера, появляющаяся в детородном органе. Подверженный заболеванию возраст – женщины 20-70 лет. Возникает данная болезнь из-за гормонального сбоя. На начальной стадии болезнь не имеет симптомов, только при возникновении болей и кровотечении женщина решается на обследование. Размер миомы матки в неделях диагностируется с помощью УЗИ. От ее размеров зависит лечение.

Размеры доброкачественной опухоли определяются по неделям и сантиметрам. Это полностью совпадает с акушерским сроком (ростом плода при беременности). Поэтому размеры миомы принято считать по неделям.

Делиться опухоль на три вида:

  • Малая опухоль (около 2 см) срок ее 4-6 недель не более. Причины для операции только в случае перекручивания ножки миомы. Может удаляться из-за обильного кровотечения, что приводит к анемии. Также если женщине поставили диагноз бесплодие;
  • Средняя (от 4 до 6 см) срок 10-11 недель. Если узлы растут не активно и нет ярко выраженных симптомов, то операцию можно не проводить. Образования, которые размещаются на внешней стороне матки, могут нарушать работу органов, расположенных ближе всего. При средней миоме может возникнуть бесплодие или выкидыш;
  • Миома, превышающая в диаметре 6 см считается большой, срок ее ровняется 12-16 акушерским неделям беременности. Такая миома удаляется только операбельным путем и медикаментозным лечением, для устранения новообразований.

От чего зависит размер новообразования

Миома появляется по следующим причинам:

  • Чрезмерные физические нагрузки;
  • Постоянное нахождение в состоянии стресса;
  • Патологии яичников, из-за чего нарушается работа половых органов;
  • Проблемы с эндокринной системой;
  • Присутствие хронических инфекционных заболеваний;
  • Генетическая предрасположенность;
  • Проблемы с лишним весом, ожирение. На фото вы можете видеть степень ожирения, которая может спровоцировать патологию.

Размеры миомы матки могут находиться в пределах нормы, тогда женщине достаточно лишь постоянного наблюдения у гинеколога. Но существуют провоцирующие факторы, которые приводят к увеличению новообразования. К ним относят:

  • Частые аборты. Иногда спровоцировать развитие опухоли может и один аборт, но это бывает крайне редко;
  • Отсутствие беременности и родов до 30 лет. То же самое относится к лактации;
  • Постоянное присутствие воспалений в половой системе организма;
  • Постоянное применение контрацептивов, влияющих на гормональный фон. Что это значит? Медикаментозные препараты, препятствующие возникновению беременности, работают с гормональным состоянием женщины. При злоупотреблении такими препаратами гормональный фон может измениться навсегда;
  • Злоупотребление солярием или постоянное продолжительное нахождение на солнце. Особенно это относится к женщинам с чувствительной кожей.


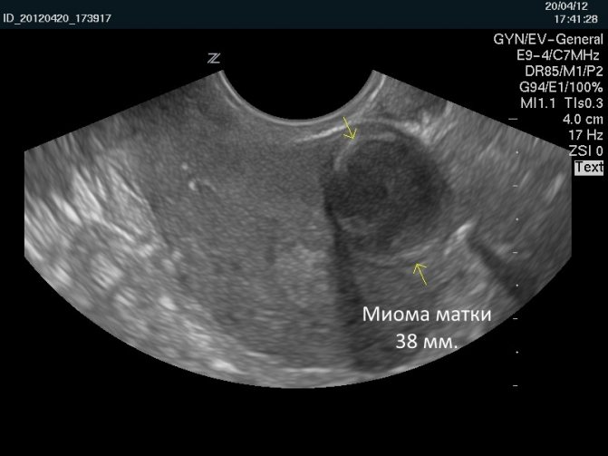
Миома матки 38 мм на УЗИ
Чтобы понять, насколько высок риск оперативного вмешательства, нужно рассчитать, на какой стадии находится патология.

Причины развития

Миоматозные новообразования матки — что это такое? Миома шейки образуется из-за повреждения генетического материала в клеточных структурах. Поломки могут появляться из-за неправильного образа жизни или по наследству (реже). Измененный генетический материал заставляет клетку расти и делиться неправильно. Деление поврежденной клеточной структуры приводит к образованию опухолевого узла.

Шеечная миома матки может появляться из-за наличия гинекологических инфекционных заболеваний. Первым из них может быть вирус папилломы человека. Вирусный агент встраивается в клетки, изменяет их генетический материал. Сразу после заражения опухоль не появляется. Организм поначалу хорошо справляется с заболеванием, не позволяет вирусу проникать в клетки. Опухоль формируется к 35-40 годам, так как иммунная система женщины слабеет, накапливаются генетические повреждения. Это провоцирует начало роста миомы матки на шейке матки.

Классификация миом по размерам

Размер миомы определяется с помощью УЗИ. Ее описывают в неделях и в сантиметрах. По мере роста новообразования матка увеличивается так же, как и во время беременности. То есть в случае увеличения матки на 10 неделе беременности женщине ставится диагноз «миома 10 недель». Размеры в неделях и см таковы:

Миомы в матке

  • Маленькая – до 2 см или 20 мм. Обычно это соответствует 4 или 5 неделе беременности;
  • Средняя – до 6 см или 60 мм. Такой показатель считается нормальным для 6-11 недели беременности;
  • Большая – от 60 в мм или 6 в см и более. Обычно актуально на 12 неделе беременности и дальше.

Когда образование соответствует 20 неделям беременности, оно может в значительной степени влиять на работу соседних органов. Миома опасна еще и тем, что она может нарушать работу соседних органов, не провоцируя при этом выраженных симптомов. Но чаще всего незначительные симптомы все же присутствуют.

Фото миом по размерам вы можете видеть ниже.

Показания к операции

  • Маточные кровотечения или нарушения менструальной функции;
  • Активный рост узлов (более 4-5 недель за год);
  • Большие и гигантские миомы, размеры матки более 11 недель;
  • Болевой синдром;
  • Субмукозные, субсерозные узлы, атипичное расположение;
  • Развитие осложнений: анемия, некроз, нарушение работы различных органов, бесплодие и др.;
  • Риск озлокачествления.

Для письменной консультации, с целью выбора тактики лечения в Вашем случае, Вы можете прислать мне на личный электронный адрес [email protected] [email protected] полное описание УЗИ органов малого таза, указать возраст и основные жалобы. Тогда я смогу дать более точный ответ по вашей ситуации.

Как определить размер новообразования в неделях

Что делать при постановке соответствующего диагноза? Как узнать, правильно ли вас лечат? Существует таблица, которая показывает размеры миомы по неделям и какой метод лечения применяется (таблица соответствия высоты дна матки и срока):

Размер в неделях Высота дна матки Какой тип лечения применяется
1-4 1-2 см или 10-12 мм Гормональная и медикаментозная терапия
До 7 3-7 см или 30-70 мм
До 9 8-9 см или 80-90 мм
До 11 10-11 см или 100-110 мм
До 13 10-11 см или 100-110 мм Хирургическое (операционное) вмешательство
До 15 12-13 см или 120-130 мм
До 17 14-19 см или 140-190 мм
До 19 16-21 см или 160-210 мм
До 21 18-24 см или 180-240 мм
До 23 21-25 см или 210-250 мм
До 25 23-27 см или 230-270 мм
До 27 25-28 см или 250-280 мм
До 29 26-31 см или 260-310 мм
До 31 29-32 см или 290-320 мм
До 33 31-33 см или 310-330 мм
До 35 32-33 см или 320-330 мм
До 37 32-37 см или 320-370 мм
До 39 35-38 см или 350-380 мм
До 41 38-39 см или 380-390 мм

В зависимости от стадии развития патологии дают о себе знать присущие ей симптомы.

Применение народных средств

Для лечения миоматозных узлов на шейке маточного органа применяют народные методы. Терапия подразумевает использование лекарственных трав. Более подходящими считаются:

  • Крапива.
  • Тысячелистник.
  • Женьшень.
  • Радиола розовая.
  • Чистотел.
  • Татарник.
  • Элеутерокок.
  • Ромашка.
  • Крапива.
  • Хмель.
  • Сабельник.

Из этих трав можно готовить отвары, настои, настойки, допускается делать сборы. Комбинация трав увеличивает эффект от терапии.

Внимание! Перед проведением фитотерапии нужно обязательно прийти на прием к гинекологу, чтобы исключить противопоказания. Терапия травами должна осуществляться только в составе общего лечения. Если на лекарственные травы появилась аллергия, необходимо отменить лечение.

Симптоматика

Если миома находится на раннем сроке развития, то есть 10 мм-16 мм или 1-2 см, она никак не дает о себе знать, то есть симптоматика полностью отсутствует. Если размеры достигают 3 см, признаки могут появиться, но не всегда достаточно отчетливо. Но когда опухоль растет и достигает 10 см и более или от 10 недель и дальше, дают о себе знать следующие симптомы:

  • Менструации, которые сопровождаются сильными режущими болями в нижней части живота. При таком состоянии не помогают даже самые сильные обезболивающие препараты;
  • По мере роста опухоли начинает надуваться нижняя часть живота. При этом женщина не набирает вес;
  • В некоторых ситуациях при любой физической активности начинаются режущие боли в животе. Это может быть не только занятие спортом, но и игра с ребенком на улице и аналогичные ситуации;
  • Когда размеры достигли 13 недель-15 недель, опухоль может воздействовать на соседние органы и нарушать их работу. Из-за этого могут возникать запоры, проблемы с мочеиспусканием, болевые ощущения в области поясницы, сердца, нижних конечностей;
  • Онемение нижних конечностей;
  • Когда миома 13 недель-15 недель и выше образует спайки с соседними тканями и органами, во время любой, даже незначительной, физической активности человек может чувствовать боль и дискомфорт в суставах.

Также опасна миома во время беременности. Обычно при размерах миомы 2 см-7 см новообразование не препятствует успешному развитию ребенка и легкому течению беременности. Однако в других случаях стоит обратить внимание на этот элемент.

Особенности

Образование появляется, если в местах, где наблюдаются сложные переплетения кровеносных сосудов происходят повреждения в результате абортов, установки внутриматочных спиралей или воспалительных процессов.

Из-за недостаточного кровоснабжения происходит гипоксия очага поражения, и в мышечном слое начинает формироваться узел. Происходит быстрое и беспорядочное деление клеток, и на внутренней или внешней стороне шейки матки появляется новообразование.

Чаще всего их рост наблюдается внутри мышечной ткани. Узлы могут быть множественными и одиночными.

Раньше считалось, что миома может перерождаться в раковую опухоль. На самом деле доброкачественное и злокачественное образования имеют разную природу происхождения и развиваются из разных тканей матки.

Даже если опухоль начинает ускоренно расти, это не говорит о перерождении миомы в раковую опухоль.

Чтобы избежать появления раковых образований, женщине рекомендуется ежегодно проходить гинекологическое обследование.

На фото показаны разновидности миом:

Миома матки и беременность

Запланированная беременность может не наступить, если образование достигло 16 см или 11 недель. Новообразование может преградить путь сперматозоидов к яйцеклетке.

Миомы в матке при беременности

В период беременности также может возникнуть миома матки. Размеры для операции определяет врач, но сама пациентка может столкнуться с такими ситуациями:

  • Увеличение миомы матки в организме может достичь такого предела, что значительно затруднится нормальный рост и развитие ребенка;
  • В 12-15 недель размер может стать слишком большим, что приведет к позднему выкидышу;
  • Если миома в 5 см-6 см не затруднит процесс родов, то на более поздних этапах развития патологии возможно кесарево сечение;
  • Размер миомы матки в период беременности может быстро увеличиваться с 11 мм до 6 см и более. Этому способствует изменившийся гормональный фон. Это значит, женщина должна в этот период находиться под постоянным наблюдением врача;
  • Без медикаментозной поддержки в этом случае не обойтись. Фармацевтические препараты необходимы, чтобы поддерживать организм в тонусе до самых родов;
  • Если терапия не приносит положительных результатов и наблюдается отрицательная динамика, то понадобится хирургическое вмешательство. В особо тяжелых случаях делают кесарево сечение, а после него полностью удаляют матку;
  • Если размеры миомы матки в период беременности не превышают 11 недель, обычно симптомы патологии отсутствуют, а сама беременность протекает успешно, в результате чего рождается здоровый ребенок.

В целом беременность не влияет на количество сантиметров, которое прибавилось к новообразованию. Кроме размеров, существует еще несколько показателей, способствующих проведению операции.

Диагностика

Мероприятия по диагностике миом шейки матки включают гинекологический осмотр, проведение дополнительных методик обследования. Врач сначала собирает анамнестические данные (аборты, беременности, период кормления грудью, проведение операций, инфекционные гинекологические заболевания). После сбора анамнеза доктор проводит осмотр в зеркалах, бимануальную пальпацию половых органов (матки, яичников).

Когда без хирургического вмешательства не обойтись

Нужна ли операция, если размеры не превышают допустимые? Да, если имеют место такие факторы:

  • Новообразование может перерасти в злокачественную опухоль;
  • Размер незначительный, но планируется беременность в скором времени;
  • Пациентка чувствует невыносимые боли на протяжении длительного периода;
  • Опухоль сдавливает органы, находящиеся рядом;
  • Появилось внутреннее кровотечение;
  • Миома имеет дополнительное образование – ножку;
  • Начались проблемы с мочевыделением.

Но основное показание для оперативного вмешательства – это размер более 6 см. Это сколько недель? Чаще всего эта цифра соответствует сроку 12 недель. Подробнее читайте в статье «Операция по удалению миомы матки».

Обычно критические дни тормозят рост опухоли. В этот период врач только наблюдает за ее состоянием. Если женщина больше не планирует иметь детей, то альтернативой может стать полное удаление матки.

О патологии

Миома шейки – это опухолевое новообразование репродуктивной системы, не относящееся к злокачественным. Патология встречается повсеместно. Регистрируется миома в 40% случаев. Клинически болезнь отличается отсутствием выраженных проявлений в начале болезни, постепенным развитием симптоматики. Основными проявлениями болезни являются болевой синдром, кровотечение, изменение менструального цикла.

Эффективность лечения современными методиками достаточно высокая, что позволяет сохранить фертильность (возможность иметь детей) женщины.

Что будет без оперативного вмешательства

Если пациентке показана операция по удалению миомы, необходимо придерживаться этого назначения, иначе исход может быть непредсказуемым. Что это значит? Возможные последствия:

  • Если воспаление распространится в сильной степени, следствием станут тяжелые заболевания почек;
  • Доброкачественная опухоль в течение небольшого количества времени станет злокачественной;
  • Рост миомы будет продолжаться, что приведет к еще большему давлению на соседние органы, исход этого процесса может быть непредсказуемым, вплоть до летального;
  • Быстро разовьется анемия;
  • Есть риск бесплодия.

Если вы будете регулярно посещать гинеколога, следовать всем его требованиям, то последствия проблемы вас не коснутся. Сегодня существует много современных методик, которые позволяют удалить опухоль быстро и без последствий. Поэтому не стоит бояться врачей, данную патологию можно устранить, живя полной и насыщенной жизнью.

Эрозия истинная…

Коридор в матку — так образно можно назвать шейку матки. Широкой частью она прикрепляется к нижнему основанию матки, а узкой — к влагалищу. Поэтому шейка матки открыта для проникновения возбудителей различных инфекций.

Эрозия шейки матки обнаруживается при гинекологическом осмотре у каждой третьей женщины. Однако гинекологи говорят, что не существует эрозии, а есть патология шейки матки.

Этим термином они обозначают участок покраснения на шейке, видимый невооруженным глазом при осмотре. Истинная эрозия — небольшая рана или ссадина на слизистой оболочке шейки матки — встречается довольно редко. Она может возникнуть при неправильной контрацепции или спринцевании, быть следствием инфекции или гормональных нарушений. Как правило, истинная эрозия существует недолго и довольно быстро заживает самостоятельно.

Противопоказания

Для лечения узла шейки имеются свои ограничения. Консервативную терапию не применяют, если узловое образование шейки находится в самом цервикальном канале (вне зависимости от ее размеров). Миоэктомию не проводят при наличии патологий сердца и легких в стадии декомпенсации, а также опухолевых процессов в маточном органе. Эмболизация не показана при аллергии на йод, во время вынашивания плода, при наличии воспалительных и злокачественных патологий в малом тазу. Полостные оперативные вмешательства нельзя проводить при недостаточной функции сердца и легких.

Перед проведением любого лечения женщину обследуют на предмет наличия сопутствующих заболеваний. Лечение проводят максимально щадящим способом. Целью терапии новообразований шейки является сохранение репродуктивной функции, особенно у детородной группы женщин.

Последствия

При наличии узлового образования шейки женщине нужно вовремя обращаться к доктору. Ранние стадии заболевания хорошо поддаются консервативным методикам терапии. Если женщина вовремя не обратилась к гинекологу, опухолевидное образование достигает больших размеров. Большие новообразования (более 12 см) лечатся хирургически.

Ссылка на основную публикацию
Похожее