Пн-пт: 10:00—20:00; сб: 10:00—15:00 по предварительной записи
whatsapp telegram vkontakte email

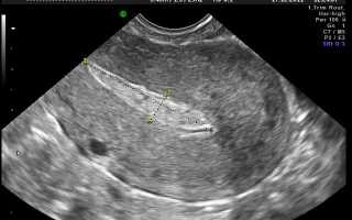
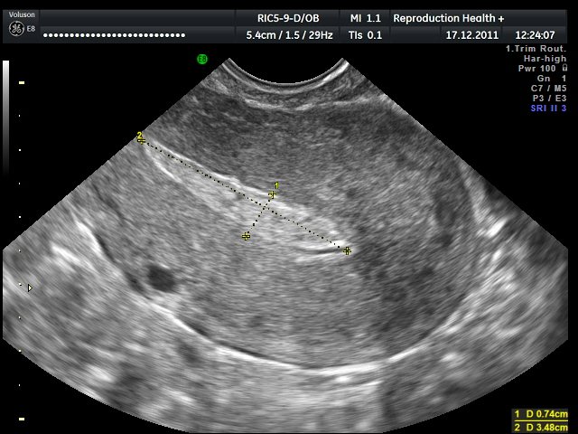
Симптомы неполного аборта: остатки внутри матки плодного яйца после медикаментозного прерывания беременности

Состояние матки

Больше всего в ходе данной манипуляции страдает именно матка. Это связано со многими причинами. При хирургическом типе прерывания большая часть манипуляций в ней выполняется почти полностью «вслепую» (хотя и под контролем аппаратуры). По этой причине, даже очень опытный врач может немного повредить полость органа ввиду индивидуальных особенностей положения и строения органа. Кроме того, сама процедура часто предполагает травмирование, например, выскабливание проводится путем снятия слоя эндометрия, к которому прикрепился эмбрион.

Не лучше обстоит дело и с фармакологическими препаратами для аборта. Все потому, что в процессе такого прерывания происходят значительные гормональные всплески и сбои. Изменяется и отторгается эндометриальный слой матки. И хотя само ее тело остается неповрежденным, эндометрий, тем не менее, восстанавливается после этого довольно долго.

Как выглядит матка после аборта? Ее внешний вид фактический, и на УЗИ, можно посмотреть на фото в данном материале.

Кюретаж

После медикаментозного прерывания

Фармакологический аборт хорош тем, что полость матки при нем не повреждается. Прием гормональных препаратов влияет на функционирование яичников. В результате начинают вырабатываться гормоны, которые, по сути, провоцируют выкидыш. Матка начинает активно сокращаться, выталкивая плодное яйцо, при этом состояние пациентки такое же, как в первые дни менструации – присутствуют кровянистые выделения и боли в нижней части живота.

После такого вмешательства изменяется функция яичников. Что касается матки, наблюдается значительное истончение слизистой. Но обычно, она восстанавливается уже через 23-28 дней, к дате начала первой менструации после аборта.

После вакуум-аспирации

Это хирургический вид вмешательства, который считается наименее травматичным из всех, хотя все же вызывает в матке неприятные изменения. Хорош тем, что проводиться может даже на тех сроках, когда плодное яйцо еще не закрепилось, так как в ходе него удаляется все содержимое полости матки. В ходе такого вмешательства специальными препаратами или механически цервикальный канал расширяется, в полость органа вводится жидкость, которая затем выкачивается вакуум-аспиратом вместе с плодным яйцом.

После такого вмешательства, особенно, если оно осуществлялось на поздних сроках, матка может долгое время быть увеличена. Она активно сокращается на протяжении еще 3-4 дней, вызывая отторжение эндометрия. После окончания сокрашений он восстанавливается примерно в течение одного месяца, и после этого начинаются месячные.

После дилатации и эвакуации

Это относительно малотравматичный хирургический метод, при котором плодное яйцо, имплантированное в стенку матки, извлекается прицельно. Благодаря чему достигается минимальное повреждение собственно матки. Процедура достаточно быстрая, осуществляется под внутривенной анестезией, не требует госпитализации. В наибольшей степени показана в период с 7 по 9 недели вынашивания. Восстановительный период не слишком длительный – он длится 2-3 суток, на протяжении которых миометрий будет периодически продолжать сокращения, провоцируя спазмы и болезненные ощущения.

Орган достигает своих физиологических размеров в течение пяти-семи дней. К этому же периоду исчезают и болезненные ощущения. А менструальный цикл восстанавливается на протяжении 30-40 дней.

После дилатации и кюретажа

Вмешательство этого типа максимально травматично. Шейка матки расширяется с помощью препаратов или хирургически, а затем вся полость органа выскабливается кюреткой. Фактически, после такого вмешательства повреждена вся полость органа, потому в течение достаточно длительного времени присутствуют сильные боли. Считается нормальным, если не сокращается матка после аборта, так как ей не нужно отторгать эндометрий (он удавлен механически).

Восстановительный период достаточно долгий. Месячные восстанавливаются только спустя 2-2,5 месяца после проведения процедуры. Такой метод ведения процедуры выбирают только в безвыходных ситуациях.


На УЗИ

Методы лечения

Если после медикаментозного, вакуумного или другого вида аборта в матке были обнаружены эмбриональные ткани, потребуется хирургическая чистка ее полости. Во время проведения процедуры пациентке внутривенно вводят антибиотики и растворы для устранения интоксикации. Использовать медикаменты для искусственного провоцирования схваток малоэффективно – частицы плода могут выйти не полностью, к тому же это вызывает сильные боли.

Остатки сохранившегося плодного яйца удаляют при помощи выскабливания, как при классическом аборте. Для остановки кровотечения пациентке делают инфузии Окситоцина в комбинации с раствором Рингера или натрия хлорида. При значительной потере крови назначаются гемостатики. Для дальнейшего лечения используются:

  • жаропонижающие медикаменты (Ибупрофен);
  • обезболивающие средства (Но-шпа);
  • антибиотики (Цефтриаксон, который колют внутримышечно 7 – 10 дней);
  • противогрибковые лекарства;
  • препараты железа;
  • анти-Rh0(D)-иммуноглобулин (при отрицательном резус-факторе у женщины);
  • пробиотики.

При нормальном состоянии пациентки гинеколог проводит контрольный осмотр через 2 недели. На это время женщина должна отказаться от интимных контактов, использования тампонов и свечей. Для нормализации гормонального фона и работы репродуктивной системы специалист назначит оральные контрацептивы, которые нужно пить в течение 4-6 месяцев.

Loading…

Поделитесь с друьями!

Состояние шейки матки

Помимо повреждения полости матки, может быть повреждена и шейка матки после аборта. Это происходит наиболее часто в тех случаях, когда плодное яйцо имеет достаточно большой размер. Могут возникать разрывы шейки, которые в дальнейшем рубцуются достаточно грубо, что осложняет следующий родовой процесс. Но это именно патологический исключительный случай, а не характерная для любого аборта ситуация.

Характерной для любого аборта ситуацией является разрушение пробки из цервикальной слизи в шейке матки. Кроме того, что эта пробка снижает вероятность наступления беременности, она еще и защищает матку от инфекций. Когда эта пробка отсутствует, вероятность проникновения инфекции в полость матки становится очень высокой. Может развиться эндоцервицит.

Потому на протяжении восстановительного периода очень важно тщательно следить за гигиеной, избегать использования вагинальных лекарственных средств (или по согласованию с врачом), избегать принятия ванн, плавания, половых актов.

Симптомы

В большинстве случаев симптомы эндометрита появляются уже через пару дней после аборта. Реже возможно более позднее проявление заболевания. Острая форма эндометрита сопровождается следующими признаками:

  • Повышение температуры 38-39°С и выше;
  • сильная боль в низу живота;
  • боль при сексе;
  • гнойные выделения из влагалища, иногда кровянистые;
  • общее ухудшение состояния, слабость, отказ от еды.

Особенно острая симптоматика наблюдается, если после аборта была установлена внутриматочная спираль.

Источник: ginekola.ru

При первых признаках эндометрита нужно обратиться к гинекологу. Также стоит проконсультироваться с врачом, если резко пропали выделения после выскабливания, либо они стали слишком обильными. Отсутствие выделения может говорить о развитии гематометры, а сильные выделения о развитии кровотечения.

Возможные повреждения матки

Какие же осложнения могут возникнуть в ходе этой процедуры?

  • Одно из самых неприятных и опасных состояний – это перфорация тела органа в процессе хирургической чистки. Проявляется болью и сильными кровотечениями даже спустя 5-6 часов после процедуры. Потому очень важно следить за своим самочувствием первые дни после процедуры, и при необходимости, незамедлительно посетить специалиста;
  • Разрыв шейки матки – нечастое осложнение, которое все же иногда происходить может. Если он небольшой, то может зажить самостоятельно, но образуется рубец, который может осложнить дальнейшие роды;
  • Разрыв тела матки может случаться редко, но это достаточно тяжелое состояние, которое потенциально способно вести к удалению органа;
  • При частых абортах истончаются стенки органа, что ведет к тому, что при планировании беременности эмбрион не в состоянии к ним имплантироваться. В этом случае может быть диагностировано бесплодие.

Стоит отметить, что какие травмы во время аборта в настоящее время скорее редкость, чем закономерность. Процедура более или менее безопасная, она считается простой и рядовой, выполняется быстро и не требует фактической госпитализации. Женщину только переводят в палату на время выхода из наркоза.

Возможные поражения

Возможные осложнения

Среди потенциальных негативных последствий проведенного аборта, которые сопровождаются ростом температуры тела, называют:

  • воспалительные болезни репродуктивных органов (вульвит, оофорит, аднексит, эндометрит и др.);
  • неполное извлечение плода, его оболочек;
  • инфицирование полости матки;
  • гормональные сбои;
  • обострение имеющихся хронических патологий или скрытых инфекционных заболеваний.

Важно своевременно выявить причину повышения температурных показателей и подобрать лечение. Это поможет предупредить развитие отдаленных негативных последствий прерывания (бесплодия, проблем с вынашиванием беременности).

Матка после аборта на УЗИ

Основное, что видно на УЗИ в таком случае – это истонченный эндометрий. Но до определенного срока это является нормой. Можно на УЗИ также заметить и остатки продуктов гестации. То есть, иногда после аборта в полости матки остаются частицы плодного яйца, которые необходимо незамедлительно удалять, так как они могут стать причиной воспалительного процесса. Но остатки продуктов гестации обычно имеют место только при аборте на позднем сроке более 7 недель.

Гипоэхогенные включения на УЗИ могут быть признаком серьезных патологий. Они могут свидетельствовать о перфорации матки, говорить о скоплении в ней крови, остатках продуктов гестации, начинающемся эндометрите и т. д. Именно такой высокой информативностью УЗИ и объясняется то, что данная процедура почти всегда назначается после аборта.

Продолжительность маточного кровотечения после прерывания беременности

Чтобы уметь правильно оценивать свое состояние, женщинам необходимо знать, сколько должно продолжаться послеабортное кровотечение и какой консистенции должны быть выделения.

  1. После хирургического аборта первый день кровоотделение достаточно обильное, цвет варьируется от алого до темно-красного.
  2. К вечеру количество отделяемого должно уменьшиться и напоминать первый день месячных по объему. Однако консистенция отделяемого совсем другая – в нем не должно наблюдаться никаких сгустков и нитей фибрина.
  3. На 2-3 сутки количество вытекающей крови уменьшается, выделения становятся темнее, затем меняют цвет на коричневатый.
  4. Кровомазанье продолжается не менее 2 недель.
  5. Если после 4 недели в естественных слизистых выделениях можно заметить кровянистые включения, следует к врачу обратиться. Этот симптом чаще всего свидетельствует о начале воспалительного процесса.

Самым щадящим считается метод вакуума – стенки матки травмируются в меньшей степени – но все равно кровомазанье после него должно продолжаться не менее 3 дней. Норма – до недели.

Наиболее обильные кровопотери вызывает медикаментозный аборт, и по времени они продолжаются не менее 30 дней. Пока не исчезнут последствия гормональных нарушений в организме, не установится и менструальный цикл. Восстановительный период после медикаментозного аборта может продолжаться до полугода.

Как можно видеть, когда нет кровоотделения после прерывания беременности, это ненормально.

Ссылка на основную публикацию
Похожее